前歯部叢生(前歯のガタガタ)をインビザラインにて治療した症例

歯並びがガタガタの原因

前歯のガタガタが気になっていらっしゃる方は多いのではないでしょうか?

ではなぜ歯並びがガタガタの方と綺麗な方がいるのでしょうか?

原因①

大きな原因としては「歯槽骨(顎の骨)の大きさ」と、「歯の大きさ」のバランスが悪いためにガタガタになると言われています。

簡単に例えると満員電車の中に、さらに乗客の方が入ろうとしている状態です。

この「歯槽骨(顎の骨)の大きさ」と「歯の大きさ」のバランスが良い方は歯並びがガタガタにならないのです。

 

原因②

もう一つの原因としては歯並びが悪くなるような良くない癖がある場合です。

例えば、「爪を噛む」、「鉛筆を噛む」などもこの一つに挙げられます。

このような癖がある方は、歯並びによくない力が働き、歯並びが悪くなると言われています。

 

原因③

幼少期の虫歯も歯並びによくないと言われています。

特に乳歯に虫歯が多かった方は歯並びに影響があると言われております。

乳歯に虫歯ができると歯が溶けるので、乳歯の大きさが元より小さくなってしまいがちです。

乳歯が小さくなると、その後生えてくるはずの永久歯のスペースが少なくなってしまい、結果としては歯がガタガタに並んでしまう原因になります。

 

歯並びがガタガタのデメリット

さらに歯並びが悪いことは見た目が悪いだけではありません。

ガタガタしているところは歯ブラシが行いにくく、汚れが溜まりやすくなります。

結果として虫歯や歯周病の原因になってしまうのです。

また、歯並びが悪いと噛み合わせも悪くなることで、お食事を摂りづらくなり、胃腸などに影響もあるとも言われております。

このように歯並びが悪いと、見た目だけでなく様々な問題が生じてしまいます。

 

 

歯並びがガタガタの方の治療法

歯並びがガタガタしている方の治療法としては以下のような方法が考えられます。

①セラミック矯正(白い被せ物)

②矯正治療

セラミック矯正(白い被せ物)を入れる治療は治療期間が少なくてすみますが、健康な歯でも大きく削るなどの処置が必要となります。当院としてはあまりお勧めできる治療の選択肢ではないかと考えております。

矯正治療の場合、治療期間は歯を動かすため比較的に長くなります。しかし、大きく歯を削ることなく治療が可能です。

また前歯部だけでなく、全顎的な(前歯から奥歯全体的な)歯並びの改善も行えます。

つまり矯正治療とは前歯の歯並びだけでなく、全体的な噛み合わせも良くなる治療です。

矯正治療は歯並びを整えるだけでなく、お口の健康を維持するためには必要なのです。

 

実際の症例

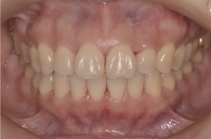
治療前

前歯部の叢生(前歯部のガタガタ)が大きく目立ちます。また臼歯部の噛み合わせも悪い状態です。

 

今回の症例では前歯部の叢生(前歯部のガタガタ)だけの治療であれば、歯を削り被せ物をするだけでもある程度の歯並びの改善を行うことができたと思われますが、大きく歯を削ることになってしまいます。

しかし患者さまは前歯の歯並びおよび全体的な噛み合わせの改善を希望されたため、マウスピース矯正での治療を選択しました。

 

治療後

前歯部の叢生(前歯部のガタガタ)も改善し、奥歯の噛み合わせも改善しました。

 

マウスピース矯正による治療を選択されたことで、結果として抜歯なども行わずに比較的低侵襲な治療で歯並びの改善を行うことができました。

 

年代・性別 40代女性
主訴 歯並びが気になる
治療内容 マウスピース矯正
費用 ¥68万(税込)
期間 10 ヶ月
リスク・副作用 しっかりとした診査診断ができていないと正しい治療効果が得られないことがあります。

装着時間を守っていただけないと治療効果が出ない場合があります。

 

お口のことでお悩みあれば当院までご連絡ください。

マウスピース矯正(インビザライン)について詳しくはこちら

 

監修者情報

歯科医師(院長) 井貫 幸一

歯科医師(院長) 井貫 幸一

歯科医師(院長) 井貫 幸一

  • 2013年 東北大学歯学部卒業 歯科医師免許取得
  • 2022年 いぬきデンタルクリニック 開業

患者さまの生涯にわたりお口の健康を維持し、笑顔あふれる生活をサポートできればと考えております。
お口のことでお悩みの方もそうでない方も是非一度お気軽にご相談ください。

院長紹介はこちら>>

カテゴリー

人気記事(閲覧数)

歯列矯正の「ゴムかけ」の効果や痛みの有無、ゴムかけが重要な理由について 71,031

2024.08.31
歯列矯正の「ゴムかけ」の効果や痛みの有無、ゴムかけが重要な理由について

虫歯があっても歯列矯正はできる?矯正中に虫歯を発症するとどうなる? 68,390

2022.09.14
虫歯があっても歯列矯正はできる?矯正中に虫歯を発症するとどうなる?

指しゃぶりで出っ歯になる?出っ歯を引き起こすさまざまな原因について 33,516

2022.09.14
指しゃぶりで出っ歯になる?出っ歯を引き起こすさまざまな原因について

月別アーカイブ