マウスピース矯正(インビザライン) で切端咬合・噛み合わせを改善した症例

こんにちは。

いぬきデンタルクリニック院長の井貫です。

今回はマウスピース矯正による歯列矯正で、切端咬合・噛み合わせの治療を行った症例のご紹介をさせていただきます。

 

マウスピース矯正(インビザライン) で切端咬合・噛み合わせを改善

 

 

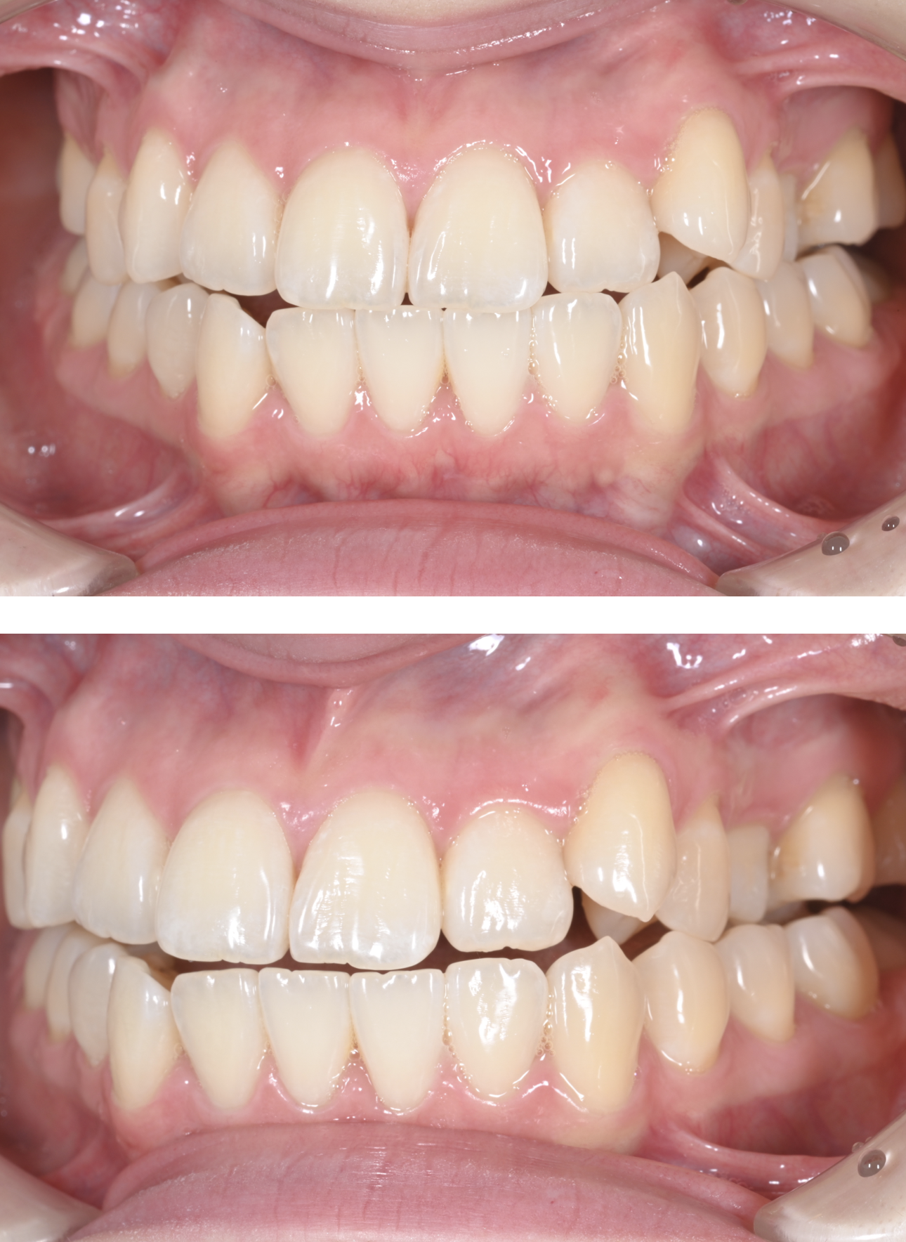
《初診時》

 

上下の前歯が当たってしまっている、切端咬合の状態でした。
噛み合わせ的に問題がありましたので、矯正治療を進めていくことに。
一口に矯正といってもさまざまな方法がありますが、今回のケースではマウスピース矯正(インビザライン)が可能であると診断し、進めていくことになりました。

 

《矯正中》

 

今回の症例は診断結果もそうですが、患者様のご希望もあり、マウスピース矯正で治療を進めていきましたが

矯正治療には①ワイヤーを使用した矯正治療と、②マウスピースを使用した矯正治療の2つの選択肢があります。

この写真のように歯に目立たない透明なマウスピースを装着して矯正行っていきます。
マウスピースは当院では約1週間ごとに交換を行っていただき、徐々に歯が動いていきます。

 

《最終》

写真の通り、とても綺麗な仕上がりに改善されました!

 

まとめ

当院ではマウスピース矯正のみならずワイヤー矯正にも知見がございます。

細かく丁寧なカウンセリングにより、患者様に合った治療法をご案内させて頂いております。

お悩みの方やご検討中の方は是非一度お問合せ下さい。

 

年代・性別 20代女性
主訴 切端咬合
治療内容 マウスピース矯正(インビザライン)
費用 ¥720,000(税別)
期間 約2年7ヶ月
リスク・副作用 しっかりとした診査診断ができていないと正しい治療効果が得られないことがあります。

 

 

当院の矯正治療はこちらを参照ください。

https://www.inuki-dc.com/orthodontics.html

 

監修者情報

歯科医師(院長) 井貫 幸一

歯科医師(院長) 井貫 幸一

歯科医師(院長) 井貫 幸一

  • 2013年 東北大学歯学部卒業 歯科医師免許取得
  • 2022年 いぬきデンタルクリニック 開業

患者さまの生涯にわたりお口の健康を維持し、笑顔あふれる生活をサポートできればと考えております。
お口のことでお悩みの方もそうでない方も是非一度お気軽にご相談ください。

院長紹介はこちら>>

 

 

カテゴリー

人気記事(閲覧数)

歯列矯正の「ゴムかけ」の効果や痛みの有無、ゴムかけが重要な理由について 71,048

2024.08.31
歯列矯正の「ゴムかけ」の効果や痛みの有無、ゴムかけが重要な理由について

虫歯があっても歯列矯正はできる?矯正中に虫歯を発症するとどうなる? 68,395

2022.09.14
虫歯があっても歯列矯正はできる?矯正中に虫歯を発症するとどうなる?

指しゃぶりで出っ歯になる?出っ歯を引き起こすさまざまな原因について 33,516

2022.09.14
指しゃぶりで出っ歯になる?出っ歯を引き起こすさまざまな原因について

月別アーカイブ