こんにちは。
いぬきデンタルクリニック院長の井貫です。
今回は出っ歯・叢生(ガタガタ)を改善したマウスピース矯正による審美症例です。
マウスピース矯正による出っ歯・叢生(ガタガタ)改善症例
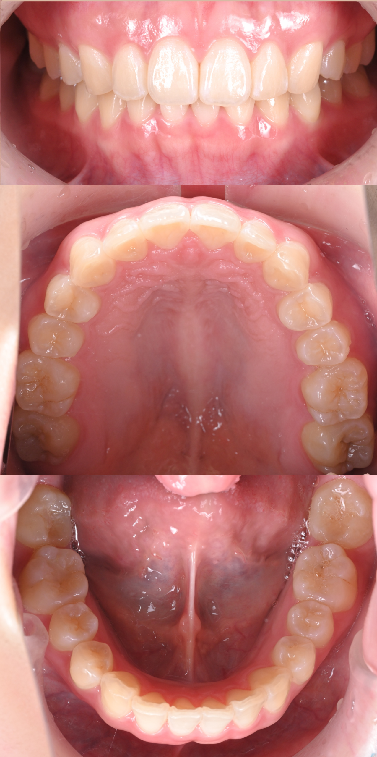
《初診時》


歯のガタガタを気にされ、お越しになりました。
マウスピース矯正で対応可能で治療を行うことになりました。
透明で、目立ちにくいのが特徴です。
《矯正終了》
《治療前後比較》

まとめ
当院ではマウスピース矯正のみならずワイヤー矯正にも知見がございます。
細かく丁寧なカウンセリングにより、患者様に合った治療法をご案内させて頂いております。
お悩みの方やご検討中の方は是非一度お問合せ下さい。
| 年代・性別 | 10代女性 |
| 主訴 | 叢生(ガタガタ)が気になる |
| 治療内容 | マウスピース矯正 |
| 費用 | ¥720,000(税別) |
| 期間 | 約2年8ヶ月 |
| リスク・副作用 | しっかりとした診査診断ができていないと正しい治療効果が得られないことがあります。 |
当院の矯正治療はこちらを参照ください。
https://www.inuki-dc.com/orthodontics.html
監修者情報

歯科医師(院長) 井貫 幸一

- 2013年 東北大学歯学部卒業 歯科医師免許取得
- 2022年 いぬきデンタルクリニック 開業
患者さまの生涯にわたりお口の健康を維持し、笑顔あふれる生活をサポートできればと考えております。
お口のことでお悩みの方もそうでない方も是非一度お気軽にご相談ください。
関連記事
2025.12.20
2025.12.11
2025.10.30
2025.10.02

