こんにちは。
いぬきデンタルクリニック院長の井貫です。
今回はインビザライン(マウスピース矯正)にて八重歯と前歯のガタつきの改善を行った症例のご紹介をさせていただきます。
マウスピース矯正で前歯部叢生(八重歯と前歯のガタつき)を治療した症例
《治療前》

この患者様は八重歯、前歯部叢生(前歯のガタつき)が気になられてご来院されました。
マウスピース矯正で治療していきたいとご要望があり、
初診時に必要な検査・矯正の為の抜歯を行った後にマウスピース矯正で治療開始しました。
《マウスピース装着時》

この写真のように、目立たない透明なマウスピースを装着して矯正を行っていきます。
マウスピースは当院では約1週間ごとに交換を行っていただくことで、徐々に歯が動いていきます
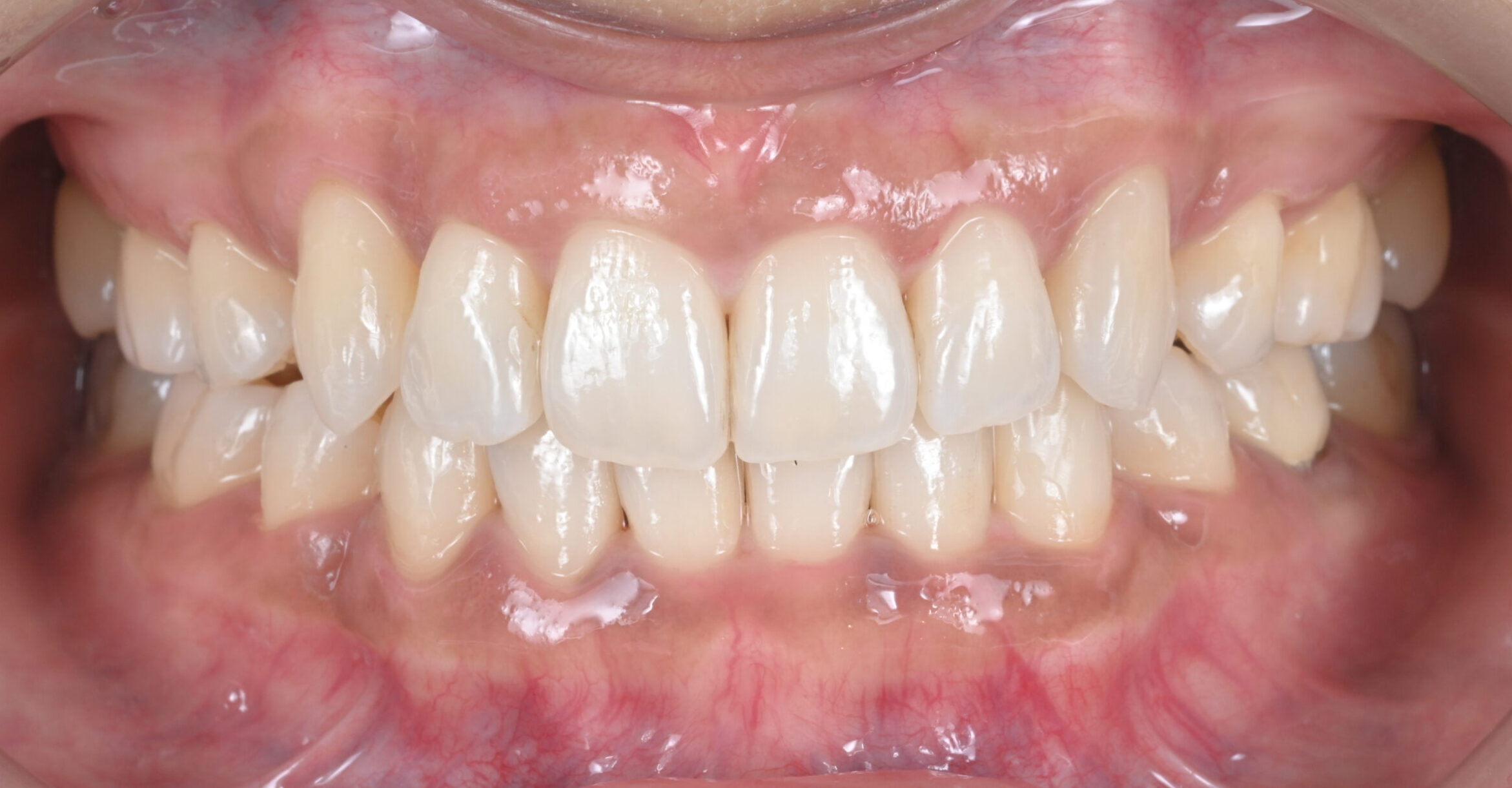
《治療後》

2022年5月から治療を開始し、2024年6月で治療完了しました。
前歯のガタつきもなくなり、とても綺麗な歯並びに改善されました!
矯正治療には、
①ワイヤーを使用した矯正治療
②マウスピースを使用した矯正治療の2つの選択肢があります。
この症例の場合、マウスピースにて矯正治療を行うことを患者様が望まれたため
マウスピースによる矯正治療をおこなっております。

まとめ
マウスピース矯正もしっかりとした症例選択を行うことで、ワイヤー矯正のような結果を得ることができます。
矯正についてお悩みの方は、是非一度お問合せください。
| 年代・性別 | 30代女性 |
| 主訴 | 前歯の噛み合わせが気になる |
| 治療内容 | 矯正治療 |
| 費用 | ¥680000(税別) |
| 期間 | 約2年1ヶ月 |
| リスク・副作用 | しっかりとした診査診断ができていないと正しい治療効果が得られないことがあります。 |
当院の矯正治療はこちらを参照ください。
https://www.inuki-dc.com/orthodontics.html
監修者情報

歯科医師(院長) 井貫 幸一

- 2013年 東北大学歯学部卒業 歯科医師免許取得
- 2022年 いぬきデンタルクリニック 開業
患者さまの生涯にわたりお口の健康を維持し、笑顔あふれる生活をサポートできればと考えております。
お口のことでお悩みの方もそうでない方も是非一度お気軽にご相談ください。
関連記事
2025.01.06
2024.11.12
2024.11.12
2024.10.13