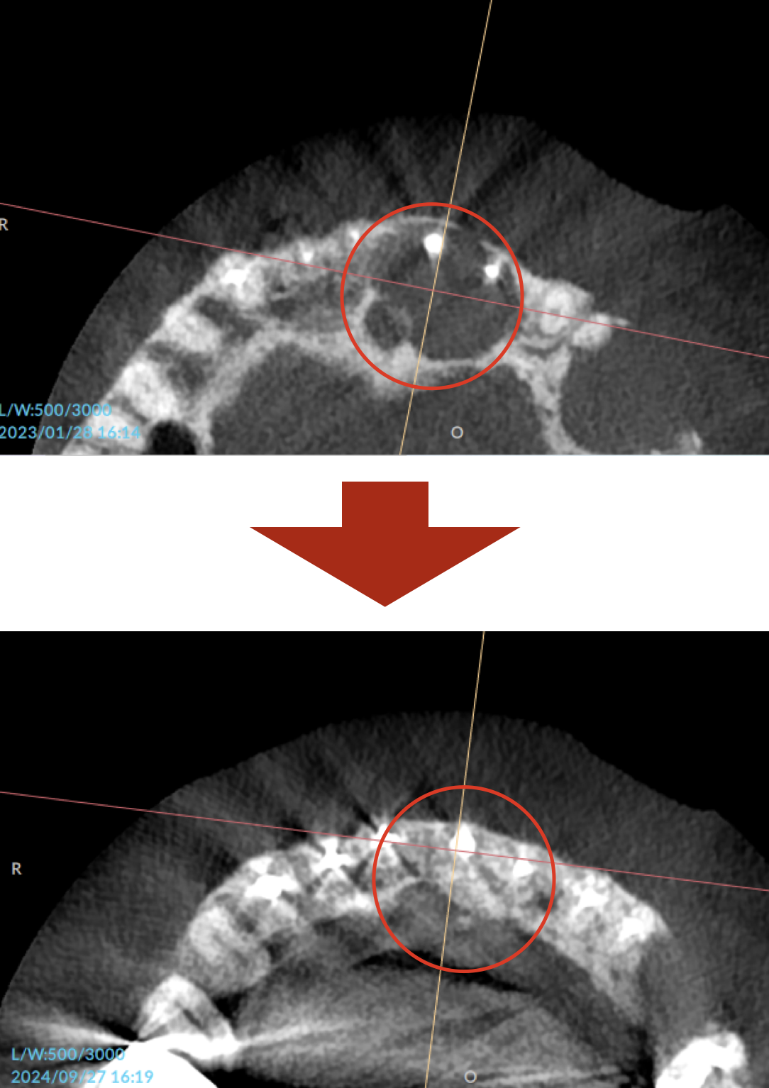
レントゲン・CTで撮影すると、上顎の前歯はかなり厳しい状態でした。
誰が見ても骨の喪失が明らかなほどで、抜歯は免れないレベルでした。
治療前



インプラントのご提案もしましたが、本人の強い要望もあり根管治療を頑張ることに。
これで無理なら抜歯しかない、それをご理解いただいた上で、根管治療を開始いたしました。
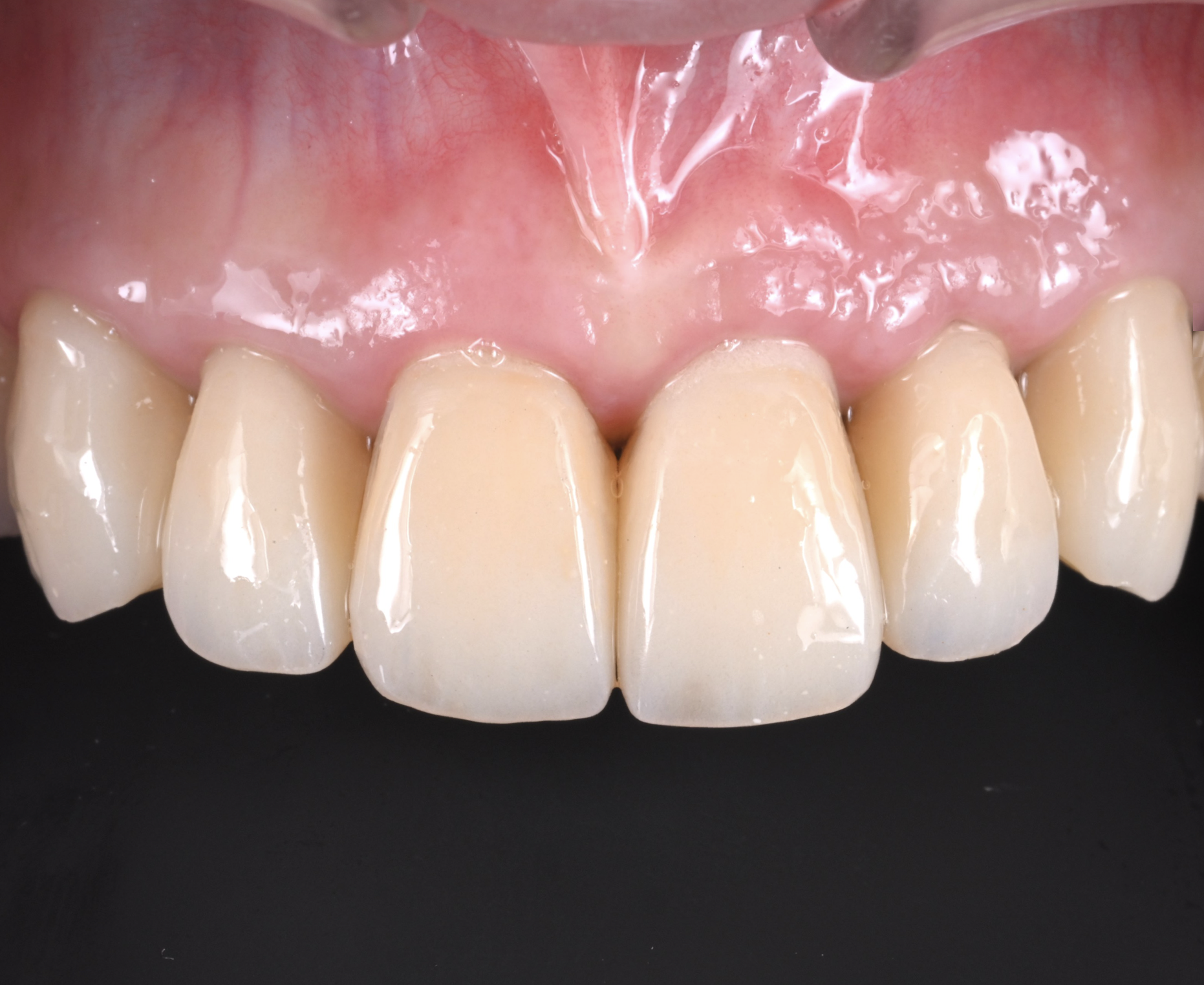
治療後



根管治療、そして骨補填剤を駆使して1年ほど。
喪失していた骨も再生し、見違える状態にまで回復しました。
これは治療をした私自身、とても驚いています。
術前術後比較
CT①

CT②

口腔内写真

| 年代・性別 | 60代女性 |
| 主訴 | 他院で何度も根管治療を行ったが、痛みが取れない。 |
| 治療内容 | 根管治療・セラミックの被せ物 |
| 費用 | 根管治療(前歯):66,000円(税込)セラミッククラウン:143,000円(税込) |
| 期間・回数 | 5回 |
| リスク・副作用 | 治療回数は最低3〜5回程度は必要になります。神経を抜く必要があり、神経を抜くことで歯の寿命は通常よりも落ちてしまいます。根管治療は何度も繰り返し行うと歯質が大きく削られ、破折のリスクが高まります。根管治療は繰り返すほど、成功率が下がります。 |
監修者情報
歯科医師(院長) 井貫 幸一

- 2013年 東北大学歯学部卒業 歯科医師免許取得
- 2022年 いぬきデンタルクリニック 開業
患者さまの生涯にわたりお口の健康を維持し、笑顔あふれる生活をサポートできればと考えております。
お口のことでお悩みの方もそうでない方も是非一度お気軽にご相談ください。




