ダイレクトボンディング&マウスピース矯正

こんにちは。

いぬきデンタルクリニック院長の井貫です。

今回はマウスピース矯正とダイレクトボンディングによる審美症例です。

 

マウスピース矯正✖️ダイレクトボンディング症例

 

 

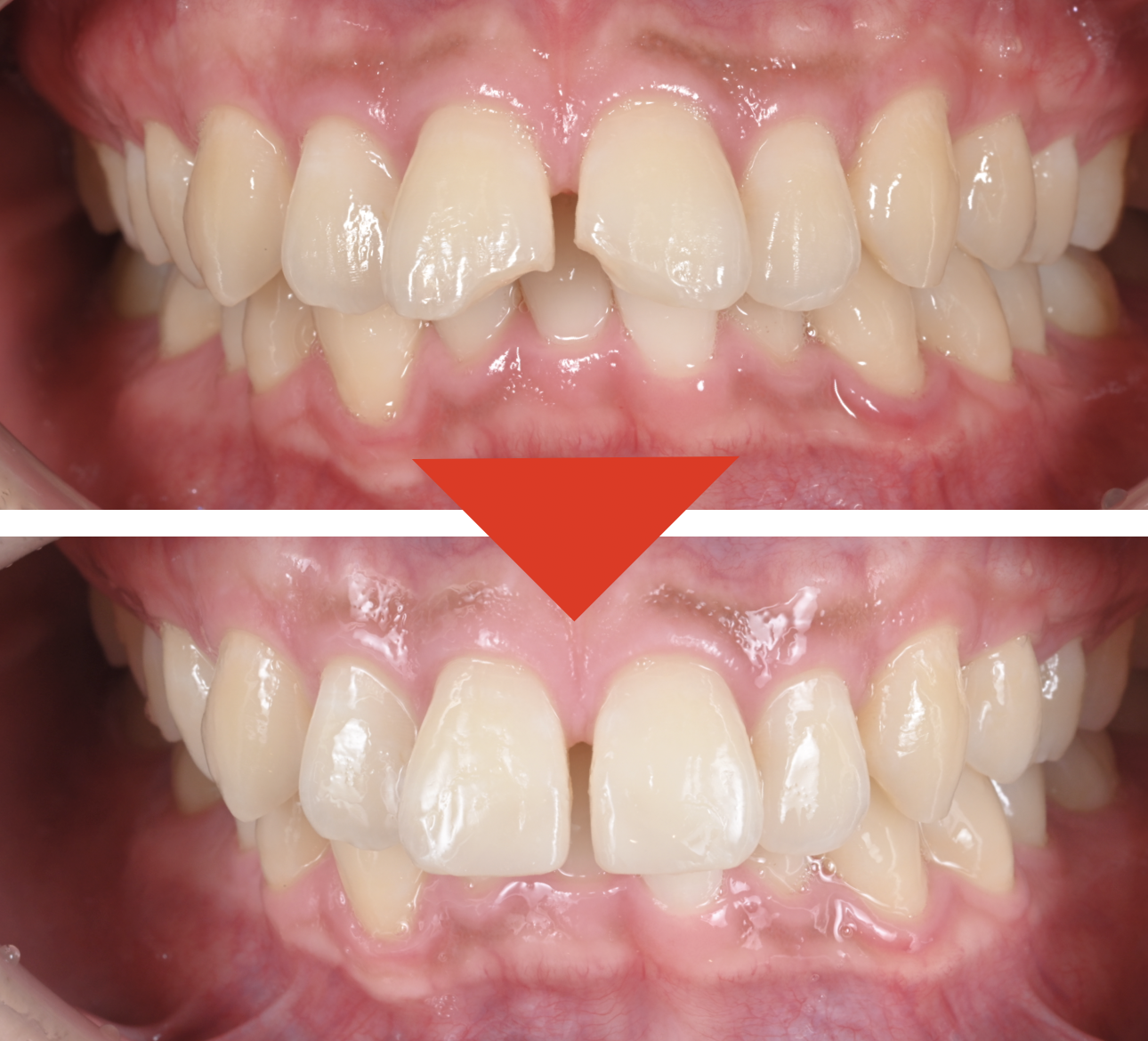
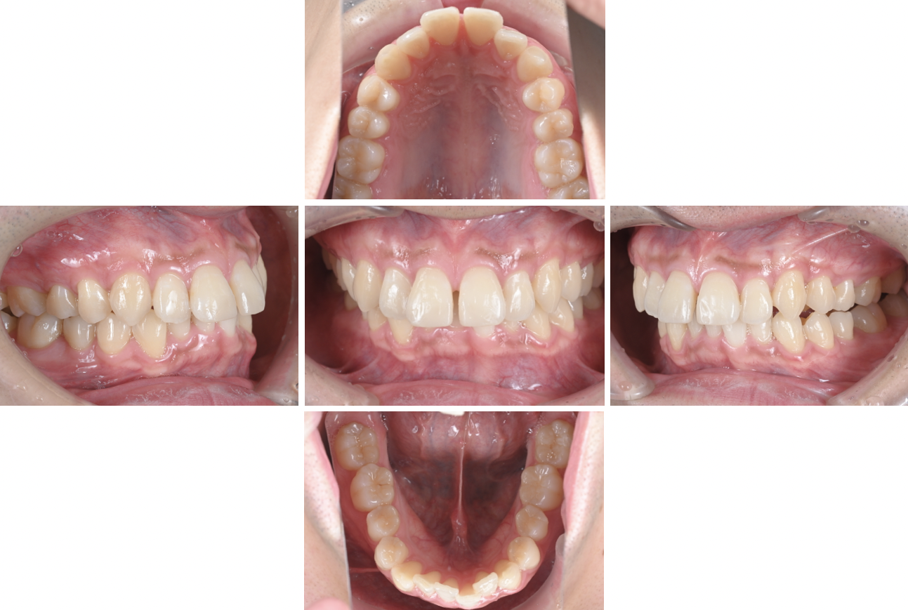
《初診時》

 

上の前歯が欠けており、ダイレクトボンディングをご希望でした。
しかし、噛み合わせそのものを正さなければ、また欠けてしまい、その度費用がかかってしまいます。
矯正歯科治療をご提案したところ、マウスピース矯正も頑張ってくださることになりました。

《ダイレクトボンディング終了時》

まずはダイレクトボンディングで綺麗に整えました。

 

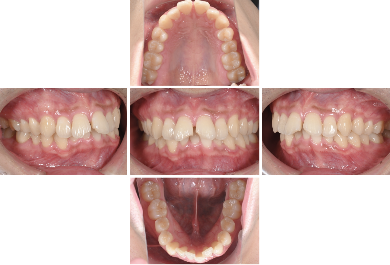
《治療の経過①》

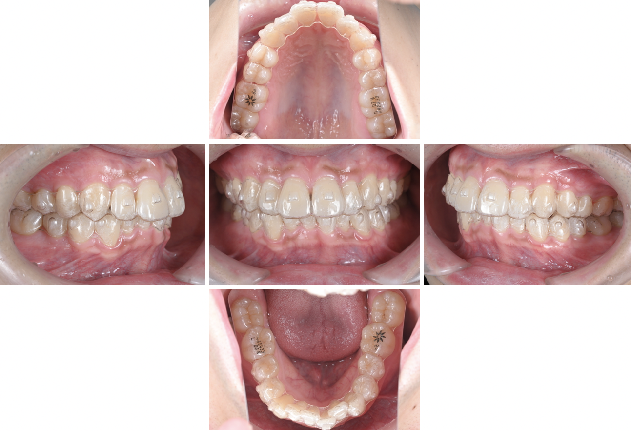
《マウスピース矯正中》

マウスピース矯正の治療途中です。
透明で、目立ちにくいのが特徴です。

《治療の経過②》

矯正終了後に、再度打ダイレクトボンディングをやり直しました。
見た目に徹底的にこだわり、仕上げました。

《治療前後比較》

 

まとめ

当院ではマウスピース矯正のみならずワイヤー矯正にも知見がございます。

細かく丁寧なカウンセリングにより、患者様に合った治療法をご案内させて頂いております。

お悩みの方やご検討中の方は是非一度お問合せ下さい。

 

年代・性別 30代男性
主訴 上顎の前歯が気になる
治療内容 マウスピース矯正・ダイレクトボンディング
費用 ¥820,000(税別)
期間 約2年半
リスク・副作用 しっかりとした診査診断ができていないと正しい治療効果が得られないことがあります。

 

 

当院の矯正治療はこちらを参照ください。

https://www.inuki-dc.com/orthodontics.html

 

監修者情報

歯科医師(院長) 井貫 幸一

歯科医師(院長) 井貫 幸一

歯科医師(院長) 井貫 幸一

  • 2013年 東北大学歯学部卒業 歯科医師免許取得
  • 2022年 いぬきデンタルクリニック 開業

患者さまの生涯にわたりお口の健康を維持し、笑顔あふれる生活をサポートできればと考えております。
お口のことでお悩みの方もそうでない方も是非一度お気軽にご相談ください。

院長紹介はこちら>>

 

 

カテゴリー

人気記事(閲覧数)

歯列矯正の「ゴムかけ」の効果や痛みの有無、ゴムかけが重要な理由について 71,031

2024.08.31
歯列矯正の「ゴムかけ」の効果や痛みの有無、ゴムかけが重要な理由について

虫歯があっても歯列矯正はできる?矯正中に虫歯を発症するとどうなる? 68,390

2022.09.14
虫歯があっても歯列矯正はできる?矯正中に虫歯を発症するとどうなる?

指しゃぶりで出っ歯になる?出っ歯を引き起こすさまざまな原因について 33,516

2022.09.14
指しゃぶりで出っ歯になる?出っ歯を引き起こすさまざまな原因について

月別アーカイブ