短期間ですきっ歯を改善したマウスピース矯正症例

こんにちは。

いぬきデンタルクリニック院長の井貫です。

今回は短期間ですきっ歯を改善したマウスピース矯正による審美症例です。

 

マウスピース矯正によるすきっ歯改善症例

 

 

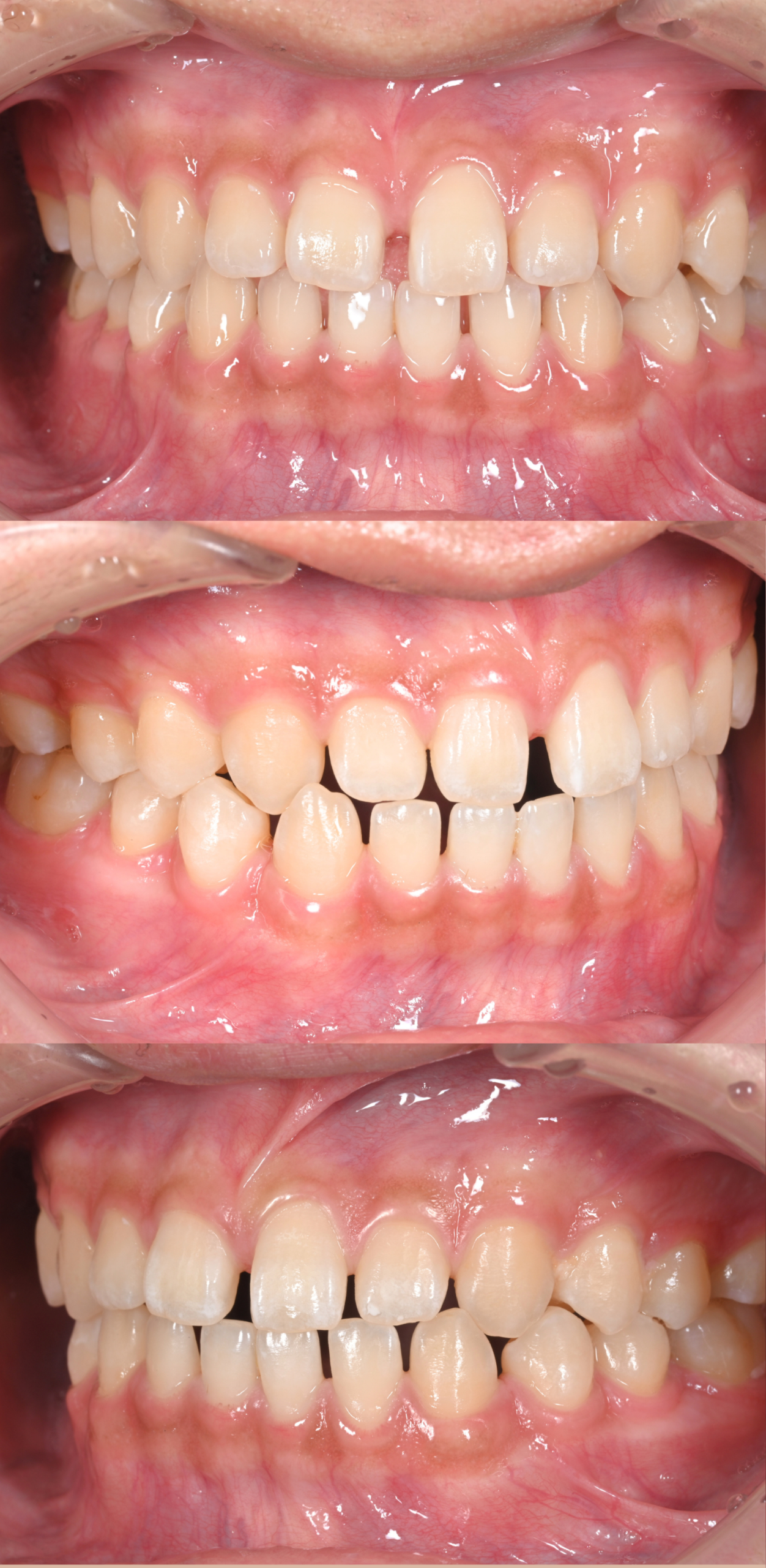
《初診時》

すきっ歯を気にされ、お越しになりました。

 

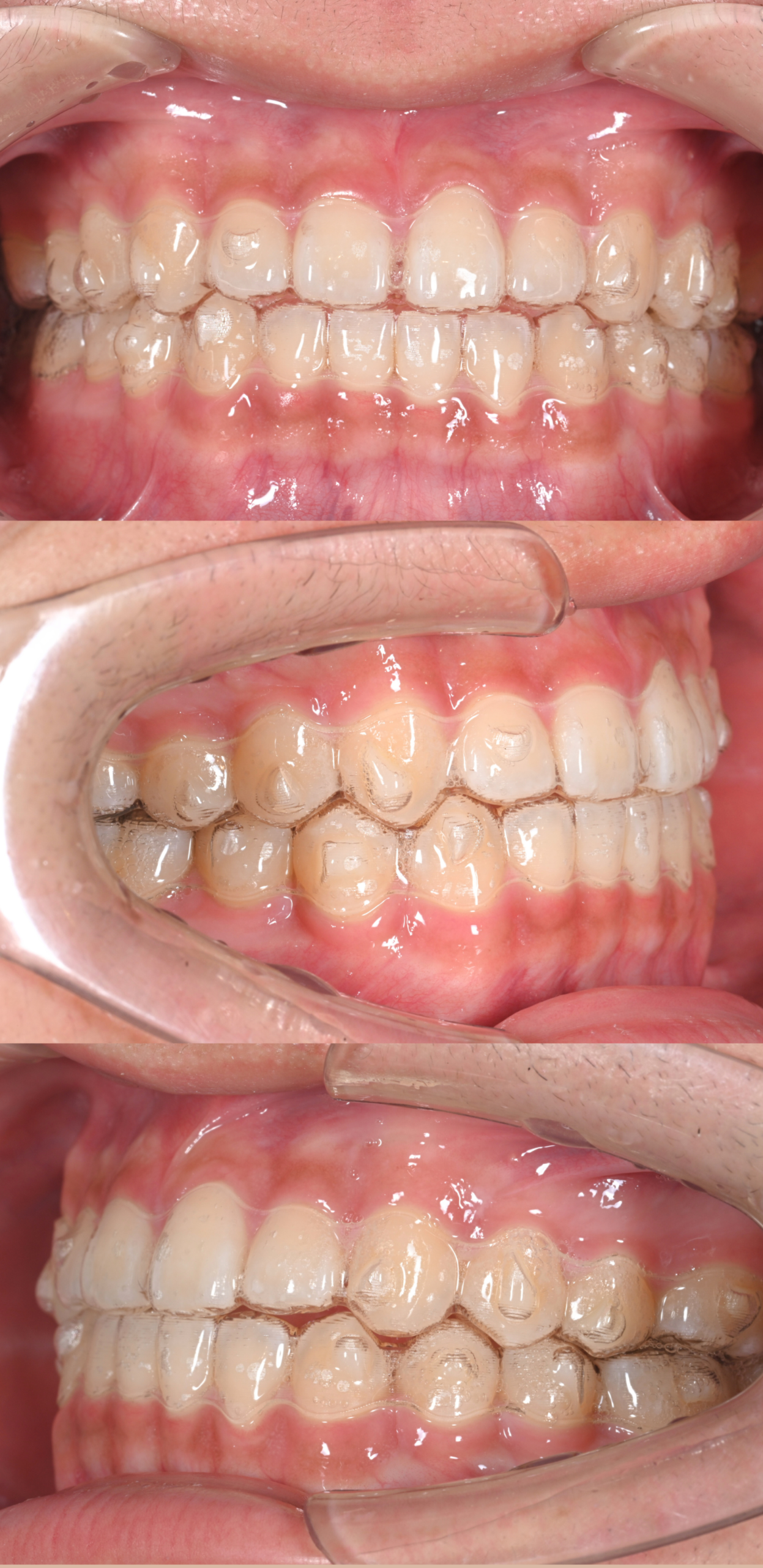
《マウスピース矯正中》

マウスピース矯正の治療途中です。
透明で、目立ちにくいのが特徴です。

 

《矯正終了》

《治療前後比較》

 

まとめ

当院ではマウスピース矯正のみならずワイヤー矯正にも知見がございます。

細かく丁寧なカウンセリングにより、患者様に合った治療法をご案内させて頂いております。

お悩みの方やご検討中の方は是非一度お問合せ下さい。

 

年代・性別 20代男性
主訴 すきっ歯が気になる
治療内容 マウスピース矯正
費用 ¥720,000(税別)
期間 約1年2ヶ月
リスク・副作用 しっかりとした診査診断ができていないと正しい治療効果が得られないことがあります。

 

 

当院の矯正治療はこちらを参照ください。

https://www.inuki-dc.com/orthodontics.html

 

監修者情報

歯科医師(院長) 井貫 幸一

歯科医師(院長) 井貫 幸一

歯科医師(院長) 井貫 幸一

  • 2013年 東北大学歯学部卒業 歯科医師免許取得
  • 2022年 いぬきデンタルクリニック 開業

患者さまの生涯にわたりお口の健康を維持し、笑顔あふれる生活をサポートできればと考えております。
お口のことでお悩みの方もそうでない方も是非一度お気軽にご相談ください。

院長紹介はこちら>>

 

 

カテゴリー

人気記事(閲覧数)

歯列矯正の「ゴムかけ」の効果や痛みの有無、ゴムかけが重要な理由について 71,031

2024.08.31
歯列矯正の「ゴムかけ」の効果や痛みの有無、ゴムかけが重要な理由について

虫歯があっても歯列矯正はできる?矯正中に虫歯を発症するとどうなる? 68,390

2022.09.14
虫歯があっても歯列矯正はできる?矯正中に虫歯を発症するとどうなる?

指しゃぶりで出っ歯になる?出っ歯を引き起こすさまざまな原因について 33,516

2022.09.14
指しゃぶりで出っ歯になる?出っ歯を引き起こすさまざまな原因について

月別アーカイブ