
『根管治療で神経を抜いたのに歯が痛いのはなぜ?』
『神経を抜いても痛いなら神経を残していたほうがいいのでは?』
『神経を抜いた歯が痛いのって異常ですよね?不安です…』
虫歯が歯の神経にまで到達した場合に行われる根管治療。虫歯が神経にまで到達すると、ほとんどの場合で非常に強い痛みが歯に生じます。そのため根管治療では基本的に歯の神経を除去し、感染を取り除く処置を行います。
しかし歯の神経を除去したにもかかわらず、歯に痛みが生じるようなケースがあることをご存知でしょうか。せっかく神経を除去したのに痛みが続くのであれば意味がない、神経を残しておくべきだったのか?と思われる方もいらっしゃるのではないでしょうか?
そこでこのページでは、兵庫県明石市で数多くの根管治療を手掛けてきた当院いぬきデンタルクリニックが、根管治療で神経を抜いたにもかかわらず歯に痛みが生じる原因と、その場合の対処法についてご紹介します。
現在神経を抜いた歯から痛みを感じており何かしらの治療を求めている方、今後根管治療を行おうと考えている方は、このページをご覧いただけばお役に立つかと思います。
兵庫県明石市のいぬきデンタルクリニックでは、歯を残すための根管治療や、抜歯後のインプラントをはじめとしたさまざまな治療を行っております。虫歯で抜歯を宣告されたという方や、根管治療でなんとか歯を残したいという方は、抜歯に至る前にまずは一度当院までご相談ください。

目次
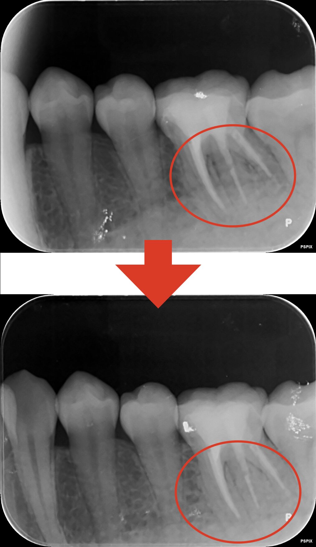
神経を抜いたのに痛む歯を当院で治療した症例
患者様は他院で何度も根管治療を行い、すでに神経は抜いていましたが(抜髄)、その後も痛みが取れないことを主訴に来院されました。

当院でラバーダム防湿を行いマイクロスコープを使用して根管治療を1度行った後より、痛みの消失が認められたため、根管治療を終了し、被せ物の治療を行わせていただきました。
>>【精密根管治療】30代女性 主訴:他院で何度も根管治療を行ったが、痛みが取れない。
神経を抜いたのに歯が痛むケースについて
根管治療で神経を抜いたにもかかわらず歯が痛む場合には、以下の3つのシチュエーションが挙げられます。
- 食事の際など、歯を噛み合わせると痛みを感じる
- 歯茎が腫れていてその周辺から痛みを感じる
- 痛みは弱い(もしくは痛くない)が歯に違和感がある
上記が全てというわけではありませんが、根管治療を受けて歯の神経を抜いた後でも、このような症状が出ることがあります。このような場合には根尖に何かしらの問題が生じていることが多く、そのまま放っておくとさらに大きなトラブルにつながる可能性があります。
このような症状を感じている方、また上記に当てはまらなくても何かしらの痛みや違和感があるという方は、まずは歯科医院で検査を受けてみてください。
神経を抜いたのに歯が痛む原因

神経を抜いたにもかかわらず歯が痛むのは、さまざまな原因があります。ここでは代表的なものを5つご紹介いたします。
- ①神経の取り残し
- ②根尖性歯周炎(根尖病巣)
- ③歯根破折
- ④咬合力(噛み合わせの問題)
- ⑤歯周病
『なぜ痛みが生じているのかわからない』という不安を少しでも軽減していただくために、以下でそれぞれ詳しくご説明いたします。ただしこのページをご覧いただいたからといって、ご自身で診断して治療を先延ばしにするようなことはせずに、痛みや違和感がある場合には歯科医院の受診をお勧めします。
①神経の取り残し

根管治療で神経を抜いたのに歯に痛みが生じる際には、神経の取り残しがある可能性も考えられます。神経を抜く治療は、歯根の中にある根管という管の中から、専用の器具を使って神経と血管から成る歯髄と呼ばれる組織を除去します。しかし根管は細く入り組んでおり、曲がっていたり枝分かれしていたりするため、正確に全体像を把握して歯髄を除去しきれないことがあります。
完全に歯髄を除去しきることは今の医療技術では不可能だと言われていますが、大部分の歯髄を除去できなかった場合には、取り残した歯髄が炎症を起こしてしまい、痛みが生じる可能性があります。
②根尖性歯周炎(根尖病巣)
根管治療はどんな名医が治療を行ったとしても、成功率は100%になることはなく、日本における根管治療の成功率は30~50%ほどだと言われています。(須田英明.わが国における歯内療法の現状と課題.日歯内療誌2011;32(1):1-10)
残りの50~70%の確立で失敗する原因の中で最も多いのが根尖病巣と呼ばれる歯根の先に膿が溜まってしまった状態です。歯根の先に膿が溜まる原因としては、「被せ物の隙間ができ、細菌が漏洩した」、「前回の治療時に根管内を綺麗にしきれていなかった」、「再度虫歯できた」、「歯が割れている」などが挙げられます。これらの原因により、根管内に細菌が侵入することで、細菌が増殖し、最終的には歯根の先で膿が溜まるという状態につながります。
この根尖病巣が原因で歯根の先の組織に炎症が起こる状態を根尖性歯周炎と呼びます。根尖性歯周炎が進行すると、膿が原因で歯を支えている周囲の歯槽骨が溶けてしまい、歯周病と同じように歯がグラグラと動く、噛むと痛みが生じるなどの症状がでてきます。
③歯根破折

神経を抜いた歯に痛みが生じる原因として、歯根破折が起きている可能性があります。歯根破折は、歯の根が割れてしまっている状態です。基本的には歯根破切は根管治療を行った歯で起こりやすいと言われています。これは根管治療を行うために便宜的に歯を大きく削る必要があり、歯の強度が落ちるためだと言われています。
根管治療で大きく削って強度が落ちた歯に大きな咬合力(噛み合わせの力)が加わることで、歯根破折が起こると言われています。歯根破折が起こるのは基本的には根管治療を行なった歯ですが、稀に天然歯でも大きな力が加わった場合には歯根破折が起こる場合があります。
歯根破折が起こると、かみ合わせた際に痛みが生じることがあり、この痛みは神経を抜いていても生じます。歯根破折を放置すると、破折した部位から感染が進み、歯槽骨が溶けてしまうこともあるため、治療が必要となります。
歯根破折を起こしている場合、破折部位がどこなのかにもよりますが、歯の保存ができないケースが多いため、抜歯につながる場合が多くなります。
④咬合力(噛み合わせの問題)
根管治療で神経を抜いた後には、基本的に詰め物や被せ物をします。詰め物や被せ物をした歯の噛み合わせが高いなどの場合、痛みや違和感が生じることがあります。
人間の噛み合わせの感覚は、髪の毛ほどの細さのものを噛んだとしても気付くほど繊細です。そのため噛み合わせがあっていないと、違和感が生じる原因になります。また噛み合わせが高いなどの状態の場合、咬合力がより歯に加わり、歯の根や歯周組織にまで負荷が伝わってしまいます。たとえ神経を抜いていたとしても、歯周組織に刺激が伝わると、痛みが生じます。
また噛み合わせが悪い状態を放置してしまうと、対合する歯(噛み合わさる歯)が欠けたり、顎が痛くなったり、歯根が破折する可能性もあるため、噛み合わせの調整が必要になります。
⑤歯周病
根管治療後に歯の痛みがある原因の一つに歯周病も挙げられます。う蝕(虫歯)と歯周病は全く違う病気で、治療方法も異なります。このため、う蝕治療で神経を抜いたとしても、歯周病が治るわけではありません。このため、神経の治療後に歯周病が進行した状態になると、歯肉が腫れ痛みが生じる原因となります。
歯周病は進行すると歯肉の炎症や、歯槽骨の吸収などが起こり、症状がひどくなると、痛みや腫れが生じます。このため、根管治療で神経を抜いていたとしても、歯そのものではなく歯の周辺組織が痛みを感じてしまうのです。
神経を抜いたのに歯が痛む際の治療法

さてここまでは、神経を抜いたのに歯が痛む主な原因をご紹介しました。神経を抜いた歯に痛みが生じるような状態であれば、何らかの治療が必要になります。
ここでは主に根尖性歯周炎の治療法についてご説明します。
- ①再根管治療
- ②歯根端切除術
- ③意図的再植術
- ④抜歯
以下でそれぞれご説明いたします。
①再根管治療
初回の根管治療で神経を取りきれなかった、根管内で再び細菌による感染が起きているなどが原因で、根尖性歯周炎になってしまっているケースでは、再根管治療を行います。
再根管治療とは、再度根管治療を行うことを言います。
先述した通り、日本における根管治療の成功率は30%~50%程度だと言われており、残りの50%~70%ほどの方は残念ながら再根管治療が必要になる可能性が高くなります。ただし、一般的には根管治療は最初の治療が1番成功率が高く、2回目、3回目になると治療の成功率が下がると報告されています。また再治療を行うということは、再度歯を削る必要性があり、歯は何度も削ることができないというのも事実です。
このため、再治療を繰り返すと抜歯に近づいていくというデメリットもあります。
②歯根端切除術
歯根端切除術とは外科的に歯の根の先を切除し、根尖病巣を取り除き、根の先より根尖を封鎖する治療方法です。再根管治療を行っても、根尖性歯周炎の再発を繰り返して痛みが生じるような場合、歯根端切除術とを行うことで、一定の治療の成功が見込めます。
現代的な歯根端切除術の成功率は90%と言われており、比較的成功率の高い治療と言えます。ただ、適応できる部位なども限られており、全ての歯に選択できる治療とは言えません。
ただし歯根端切除術は歯肉を切開する外科的な処置を伴うため術後に痛みや腫れもあり、さらに外科処置を伴う治療は費用負担も大きくなる傾向があり、また100%の治療とは言えません。こういったことを加味し、歯根端切除術を選ばずに思い切って抜歯を選択される患者様も、中にはいらっしゃいます。
③意図的再植術
前述した歯根端切除術のように、再根管治療を行っても改善が認められない根尖性歯周炎に対して行う処置の一つとして、意図的再植術と呼ばれる治療があります。
意図的再植術は、再根管治療でも改善の認められない歯に対して、戦略的に一度抜歯を行い、口腔外(口の外)で抜歯した歯の歯根の先を切断し、根尖を封鎖し、再度元に戻す処置です。
ただし、意図的再植術が行える歯には適応もあり、戦略的な抜歯を行う際に、歯が割れてしまう場合もあり、その時点で保存不可能になる可能性もある処置です。
このため、意図的再植術以外に治療方法がないといった時に行う、最後の治療と言えます。
④抜歯
これまで様々な治療方法を述べてきましたが、最終的にどのような治療を行っても、保存が不可能な場合には抜歯を行う必要性が出てきます。
ご自身の天然の歯を残せないという点で抜歯に強く抵抗を感じる方も多いと思いますが、様々な治療方法により、元の状態に近い状態に戻す治療は様々あります。
特に根尖病巣が繰り返し再発し、根管治療を繰り返しているようなケースでは、残存歯質(残っている歯)も少なくなり、治療の難易度も高い可能性があり、抜歯という選択を行うことで治療の期間、費用なども下がり結果としては、患者様にとってもメリットのある選択になる場合もあります。
抜歯をするか否かは慎重に検討するべきではありますが、治療に対する成功率などを合理的に考慮することで、患者様によっては根管治療を繰り返し行うい、時間もお金も多く使うくらいなら早くからインプラントなどの治療を行えばよかったとおっしゃられる方もいらっしゃいます。
残念ながら抜歯に至った場合

上記のように根管治療後に歯の痛みが生じるケースでは、様々な治療方法がありますが、残念ながら抜歯に至ってしまうこともあります。そういったケースでは、抜歯後の治療として当院ではインプラントをお勧めする機会が多いです。
多くの場合、インプラントは抜歯後の治療として最良の選択肢です。重度の歯周病で歯槽骨の大部分を失っている患者様や、全身疾患により外科的な処置が行えない患者様など、患者様の適応によっては部分入れ歯やブリッジをおすすめすることもありますが、多くの場合インプラントが最も良い選択肢になるかと思います。
当院のインプラント治療について、簡単にご説明いたします。
当院のインプラント治療について
当院では、抜歯せざるを得ないと判断したケースにおいて、抜歯を行った直後にインプラントを埋入することで、治療期間を短縮したり、『歯がない』期間を無くせる可能性がある、抜歯即時埋入法と呼ばれるインプラント治療を行っております。
通常は抜歯後に歯肉が治癒した状態から、歯肉を切開しインプラントを埋入しますが、この方法であれば歯肉の切開を伴わなず、痛みや腫れも軽減することが可能です。
また抜歯即時埋入法が適応とならず、抜歯後に患部の治癒を待つ必要があるようなケースでも、抜歯窩温存療法(ソケットプリザベーション)と呼ばれる処置を行い、インプラント治療を行う際になるべく十分な骨の量を確保し、心身の負担がなるべく少ない治療を行えるように対処しております。
>>抜歯窩温存療法(ソケットプリザベーション)についてさらに詳しく
このように当院では患者様のご負担をなるべく軽減し、痛みや腫れが少なく治療期間の短いインプラント治療をご提供しております。もちろん、まずは抜歯を回避してご自身の歯を残しながら、現在感じられている痛みを取り去るための治療を行います。
まとめ:まずは歯科医院で痛みの原因を診断しましょう

このページでは、根管治療で神経を抜いたにもかかわらず歯に痛みを感じるというケースについて、痛みを感じる原因や対処法、また残念ながら抜歯に至った際に行う治療について、当院の方針を基に回答させていただきました。
根管治療を行って神経を除去しても、歯の周辺組織は痛みを感じます。そのため歯周病が進行していたり、根管内で虫歯が再発していて歯の根に膿が溜まっているようなケースでは、痛みが生じてしまうのです。
このようなケースでは再根管治療を行うのが一般的ですが、根管治療はどんな名医が行ったとしても、決して成功率が100%になることのない治療です。そのため常に再発のリスクを考慮に入れた上で、治療を行うべきかどうか、検討する必要があります。
>>根管治療をしたほうがいいケース、しないほうがいいケースについて
当院ではまず大前提に患者様の天然の歯を残すための治療を検討し、それが難しい場合には抜歯後の治療としてインプラントをはじめとしたさまざまな治療をご用意しております。根管治療をしたのに痛みが残っており再根管治療が必要だと伝えられた患者様、歯を残すことはできないので抜歯が必要だと宣告された患者様、どんな方であってもまずはぜひ当院にご相談ください。歯を残せる可能性がどれくらいあり、残せない場合にはどのような治療の選択肢があるのか、患者様のご希望をしっかりとお伺いした上で、患者様と一緒に治療の方針を検討させていただきます。
兵庫県明石市のいぬきデンタルクリニックでは、歯を残すための根管治療や、抜歯後のインプラントをはじめとしたさまざまな治療を行っております。虫歯で抜歯を宣告されたという方や、根管治療でなんとか歯を残したいという方は、抜歯に至る前にまずは一度当院までご相談ください。






