こんにちは。
いぬきデンタルクリニック院長の井貫です。
今回は抜歯即時インプラントについてお話ししていきます。
インプラントと言っても様々なインプラントメーカーがあり、さらにインプラントの埋入方法も色々なものがあります。
今回はインプラントの埋入時期によるインプラント治療の違いをお話ししていきます。
目次
インプラント治療の埋入時期による違い
インプラント治療とはインプラント(人工歯根)を顎の骨の中に入れることにより、歯を作る処置のことです。
しかし、通常インプラント治療を行うためには歯を抜歯した部位がしっかりと治るのを待つ(約2〜3ヶ月)必要性があります。
そもそもインプラント埋入(インプラントを顎の骨に入れる手術)を行うためにはインプラントを入れるための顎の骨が必要なのです。ただ、歯を抜いた直後というのは、顎の骨が治りきっておらず、多くの場合が抜歯と同時にインプラントを埋入することができません。
このため、抜歯した部位の骨がしっかりと治ってから、インプラント埋入を行うのです。
ただ近年はインプラント埋入の治療法も研究されてきており、条件さえよければ、抜歯と同時にインプラントを埋入することが可能と言われております。
実際のインプラント を入れる時期により以下のような違いがあります。
①待時埋入
歯を抜歯してから、抜歯窩(歯を抜いた後にできる穴)が封鎖してからインプラント埋入を行う方法です。従来のインプラント治療は基本的にこの待時埋入になります。
待時埋入はインプラント治療としては、しっかりと確立されており現在では非常に信頼できる治療と言えます。
待時埋入のメリット・デメリット
メリット
・抜歯した部分が治ってから、インプラントを入れるので手術が楽に行える。
・抜歯した後の、骨の治りの確認が行えるので、インプラントを入れた後の骨の吸収などのリスクが少ない。
・骨が足りない場合などに、骨を足す治療などを追加で行いやすい。
デメリット
・抜歯をした後に、歯が治るのを待つ時間が必要となる。
→結果として治療期間が長くなる。
・抜歯を行う際に、骨が痩せないような処置を行わなければ、大きく骨が溶けてしまう場合がある。
②抜歯即時埋入
歯を抜歯するのと同時にインプラント埋入を行う処置のことです。
抜歯即時埋入のメリット・デメリット
メリット
・抜歯と同時にインプラントを入れるので、抜歯部位が治る期間を短縮することができる。
・抜歯後の歯肉の吸収を抑えることができる(審美的なインプラント治療が可能な場合がある)。
・抜歯と同時にインプラント埋入を行うので、外科的な治療の回数を減らすことができる。
デメリット
・大きく感染している歯を抜く場合などには、適応できないことがある。
・抜歯した後の顎の骨の吸収量の予測が難しい。
・抜歯部位にインプラントを埋入するのはそもそも治療難易度が高い。
・抜歯と同時にインプラントを行うので、骨を足す治療などを同時に行うのは非常に困難である。
このようにインプラント治療といっても、インプラント埋入する時期によっても治療の難易度や最終的な仕上がりにも影響を与えます。
特に審美的な領域で大きな感染が歯にない場合で、かつ顎の骨が分厚い人などには、抜歯即時インプラントをお勧めしております。
また抜歯即時インプラントは治療期間の短縮をすることもできるため、患者様の負担も少ない治療と言えます。
では、実際の治療を通して抜歯即時インプラントがどのようなものか解説していきます。
抜歯即時インプラントの症例
患者様情報
年代・性別
30代女性
主訴
上の前歯が折れた。
治療前


患者さまは「上の前歯が折れた」のとのことで、当院を来院されました。お口の中を精査すると左上の前歯の頭が折れており、
歯がほとんど残っていない状態でした。このため、同部は保存不可能と判断し抜歯を行い、インプラント治療を行う予定としました。
通常通りの方法であればまず抜歯を行い、抜歯窩(傷口)が治った後(3か月程度)にインプラント治療を行います。
しかし上の前歯というかなり審美的な部分でなるべく早期にインプラント治療を完了したとの患者さまの要望もあり、
CTにて精査したところ、骨の量も十分にありインプラントを抜歯するのと同時に埋入することができると診断しました。
抜歯即時インプラント埋入(抜歯と同時のインプラント治療)


まずは左上1番の抜歯を行いました。その後、慎重にインプラント埋入を正確な位置に行いました。
ここでインプラントと頬側の骨(ほっぺた側の骨)の間に2㎜以上のギャップ(隙間)がある方がいいと言われています。
しかし、このままではインプラントと抜歯窩の間に隙間があるので、人工骨を足し、口蓋より歯肉の移植を行いました。
隙間に骨を足すことでできる限り抜歯後の顎の骨の吸収を抑えております。


CTG(歯肉の移植)を行っている様子。
前歯のインプラント治療では歯茎をいかに下がらないようにするかが、肝となります。
今回は出来るだけ審美的なインプラント治療を行うため、インプラント埋入を行うと同時にCTG(歯肉の移植術)を行いました。
プロビジョナルクラウンセット時


プロビジョナルクラウン(仮歯)セット時。
前歯のインプラント治療では、仮歯を入れることで歯の大きさや形態のバランスを慎重に見極めていきます。
通常は数回の調整が必要になります。
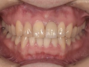
治療終了時


CTGなどを併用することで自然な形のインプラント治療を行うことができました。
| 治療内容 | インプラント1本 |
| 費用 | 49.5万円 (税込)(インプラント+上部構造/1本) |
| 期間 | 7ヶ月(治療期間中は審美性を保つため綺麗な仮歯を入れています) |
| リスク・副作用 | インプラントもご自身のブラッシングを行わないと歯周病になります。天然の歯同様ブラッシングを行い定期的なメンテナンスが重要です。 |
当院ではサージカルガイドを使用した審美的なインプラント治療を行っております。
監修者情報

歯科医師(院長) 井貫 幸一
- 2013年 東北大学歯学部卒業 歯科医師免許取得
- 2022年 いぬきデンタルクリニック 開業
患者さまの生涯にわたりお口の健康を維持し、笑顔あふれる生活をサポートできればと考えております。
お口のことでお悩みの方もそうでない方も是非一度お気軽にご相談ください。







