ダイレクトボンディング×マウスピース矯正症例

こんにちは。

いぬきデンタルクリニック院長の井貫です。

今回はダイレクトボンディングとマウスピース矯正による審美症例です。

 

 

Contents

ダイレクトボンディング×マウスピース矯正症例

 

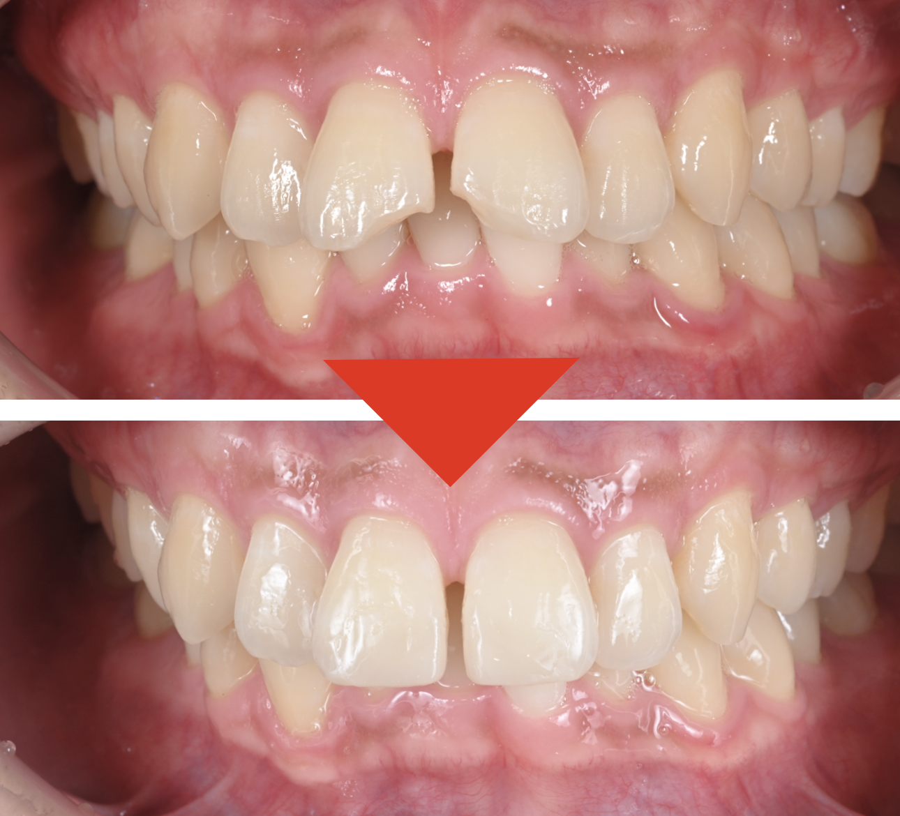
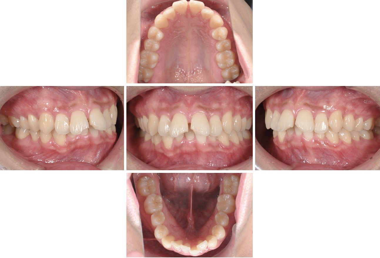
《初診時》

 

上の前歯が欠けており、ダイレクトボンディングをご希望でした。
しかし、噛み合わせそのものを正さなければ、また欠けてしまい、その度費用がかかってしまいます。
矯正歯科治療をご提案したところ、マウスピース矯正も頑張ってくださることになりました。

 

《ダイレクトボンディング終了時》

まずはダイレクトボンディングで綺麗に整えました。

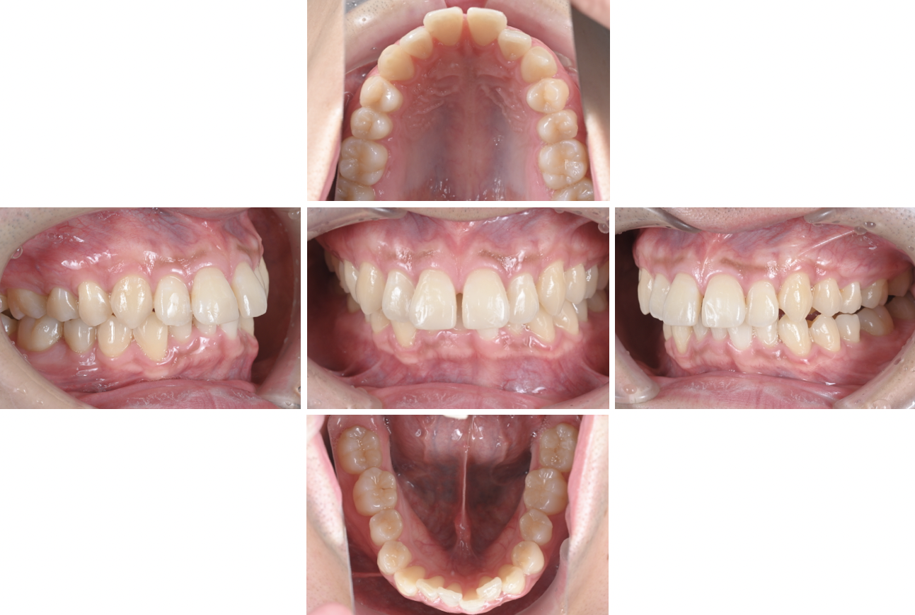
《治療の経過①》

《マウスピース矯正中》

マウスピース矯正の治療途中です。
透明で、目立ちにくいのが特徴です。

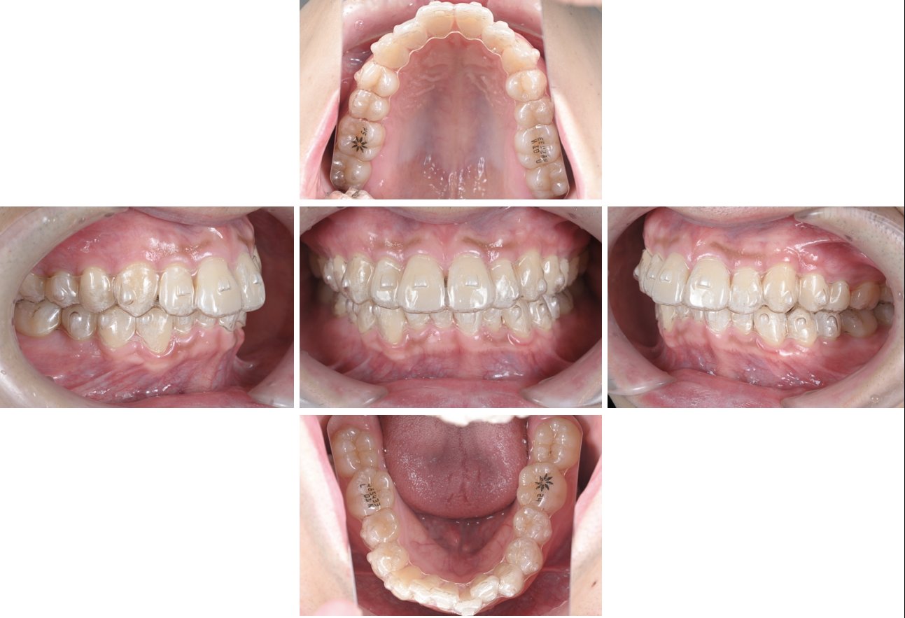
《治療の経過②》

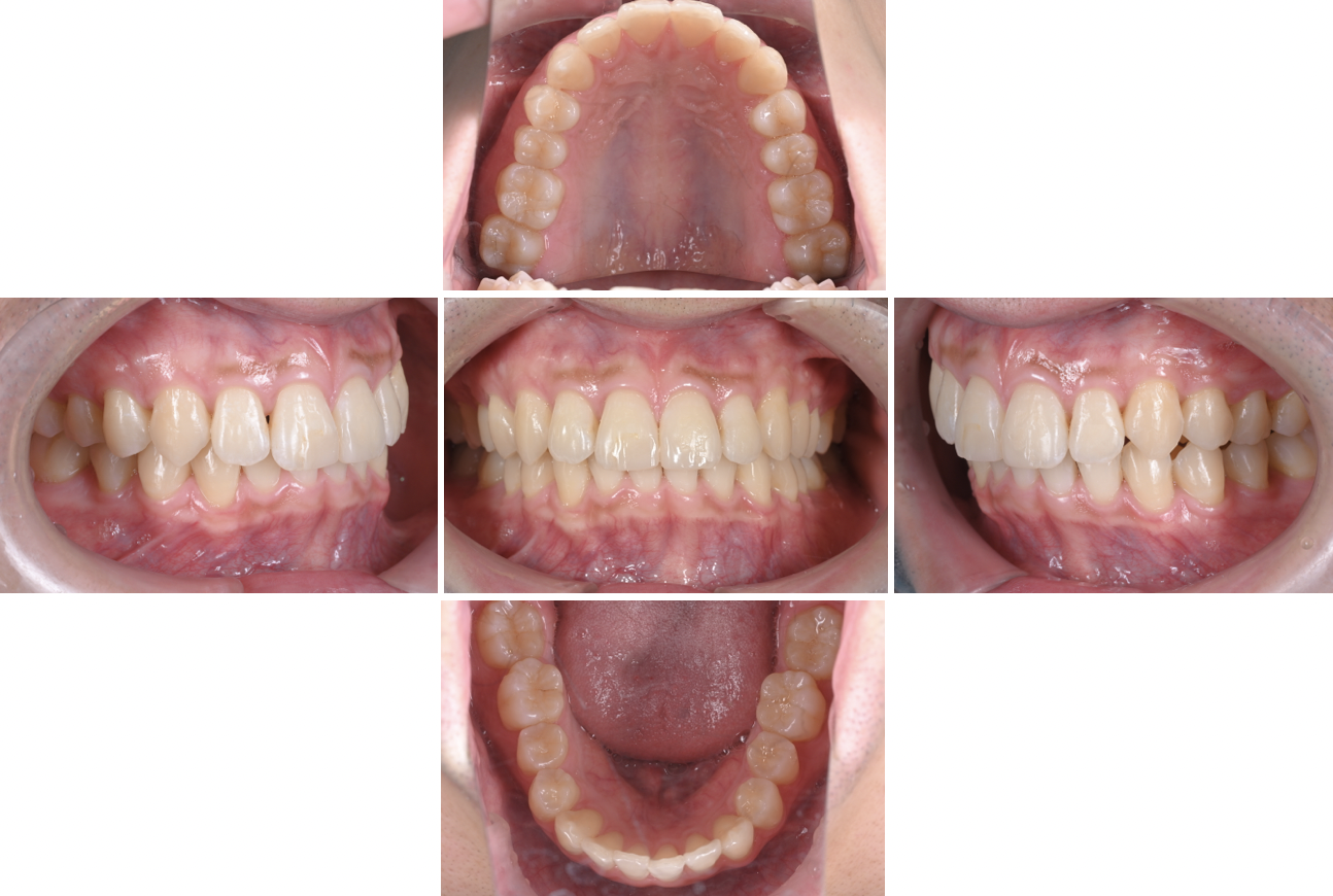
《全ての治療終了》

矯正終了後に、再度ダイレクトボンディングをやり直しました。
見た目に徹底的にこだわり、仕上げました。

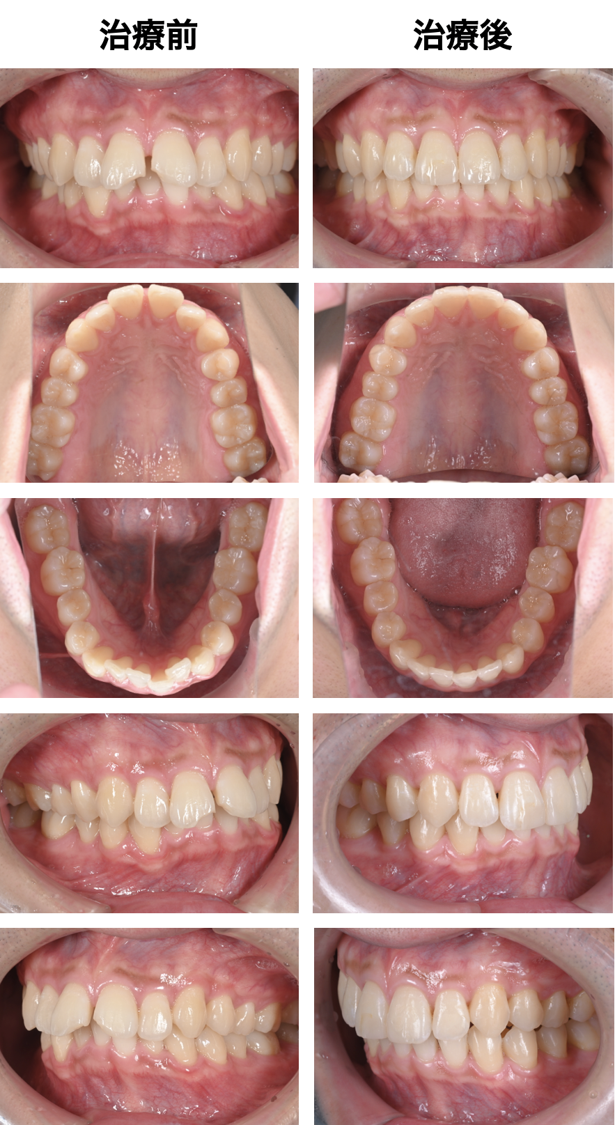
《治療前後比較》

まとめ

当院では細かく丁寧なカウンセリングと、患者様に合った治療法をご案内させて頂いております。

お悩みの方やご検討中の方は是非一度お問合せ下さい。

 

年代・性別 30代男性
主訴 上顎の前歯が気になる
治療内容 マウスピース矯正・ダイレクトボンディング
費用 合計¥820,000(税別)
期間 2年半
リスク・副作用 しっかりとした診査診断ができていないと正しい治療効果が得られないことがあります。

 

 

 

監修者情報

歯科医師(院長) 井貫 幸一

歯科医師(院長) 井貫 幸一

歯科医師(院長) 井貫 幸一

  • 2013年 東北大学歯学部卒業 歯科医師免許取得
  • 2022年 いぬきデンタルクリニック 開業

患者さまの生涯にわたりお口の健康を維持し、笑顔あふれる生活をサポートできればと考えております。
お口のことでお悩みの方もそうでない方も是非一度お気軽にご相談ください。

院長紹介はこちら>>

 

 

カテゴリー

人気記事(閲覧数)

虫歯があっても歯列矯正はできる?矯正中に虫歯を発症するとどうなる? 7,363

2022.09.14
虫歯があっても歯列矯正はできる?矯正中に虫歯を発症するとどうなる?

矯正治療は痛い?痛みは減らせる?痛くないと歯が動かないって本当? 5,412

2022.09.14
矯正治療は痛い?痛みは減らせる?痛くないと歯が動かないって本当?

歯の神経の治療と痛みについて 5,289

2022.05.23
歯の神経の治療と痛みについて

月別アーカイブ