こんにちは。
いぬきデンタルクリニック院長の井貫です。
今回はセラミッククラウンによる上顎前歯部の審美症例です。
Contents
交通事故による上顎前歯部の破損を修復した審美症例

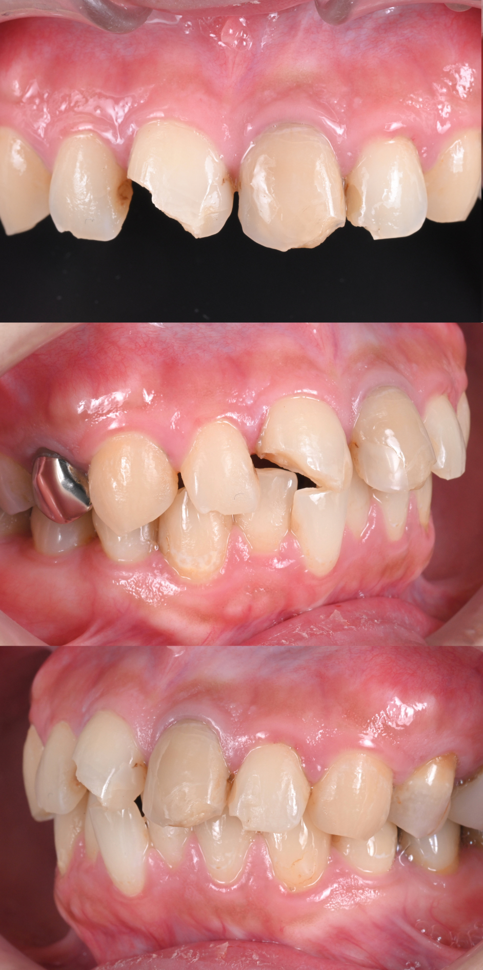
《初診時》

上の前歯が交通事故で破損してしまい、お越しになりました。
前歯は特にみられる部分でもあり、技術が問われます。
《治療途中》

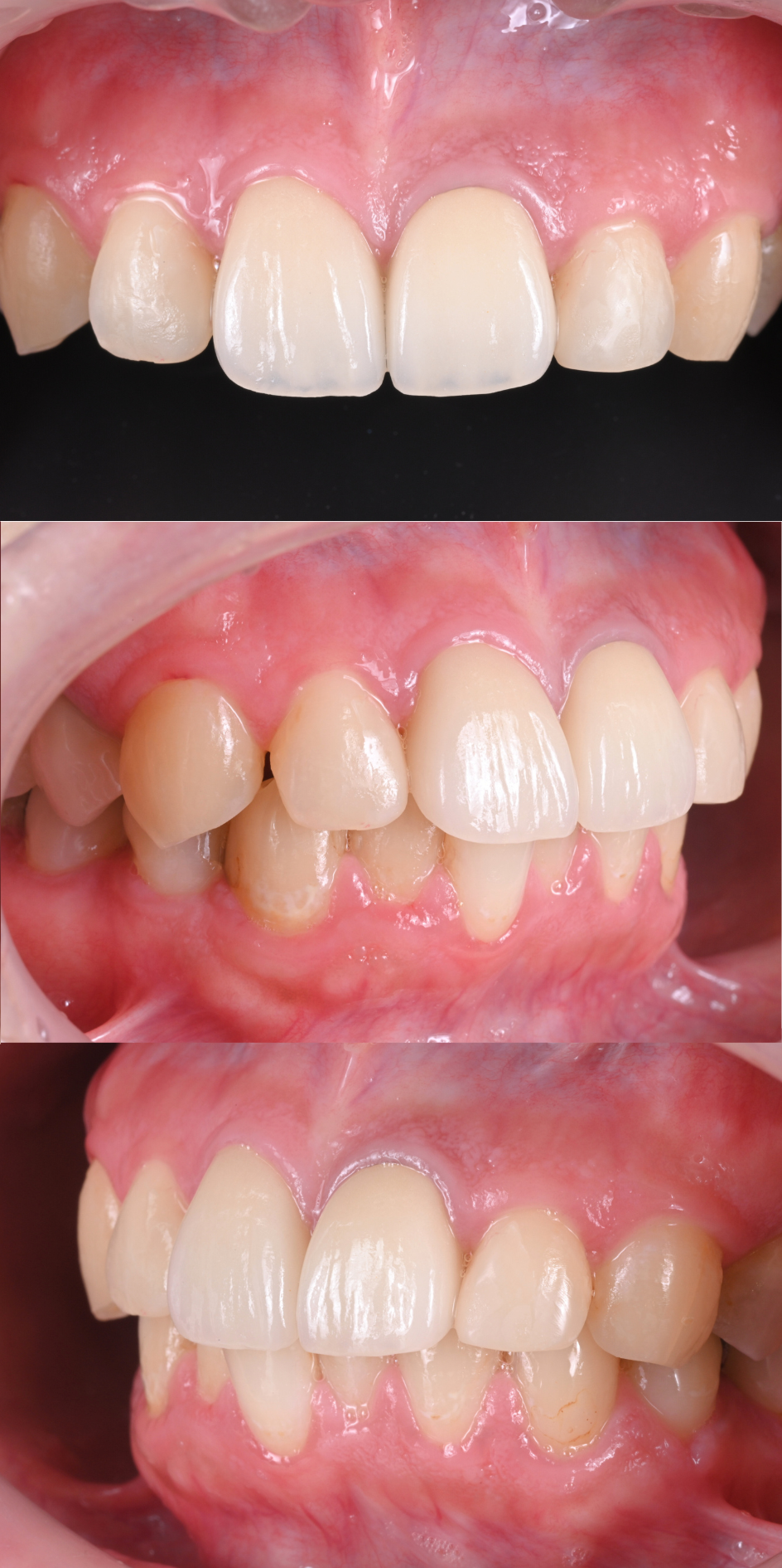
《治療終了時》

セラミックで美しく仕上げました。
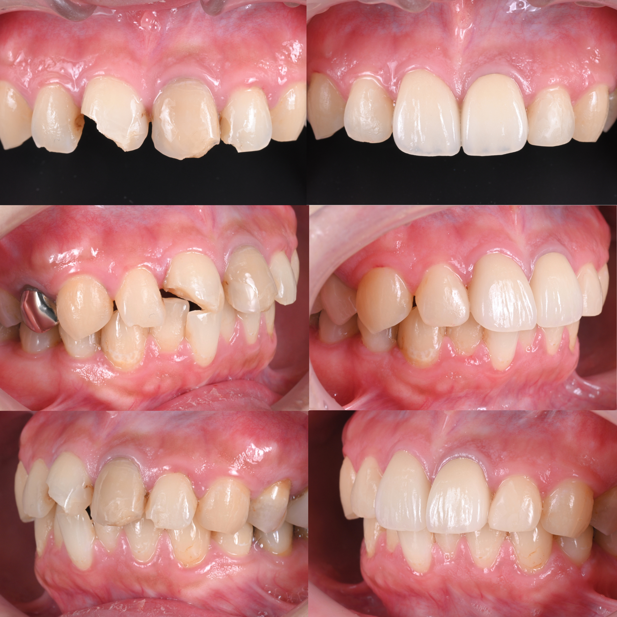
《治療前後比較》

まとめ
当院では細かく丁寧なカウンセリングと、患者様に合った治療法をご案内させて頂いております。
お悩みの方やご検討中の方は是非一度お問合せ下さい。
| 年代・性別 | 40代女性 |
| 主訴 | 交通事故で破損した上顎前歯を治して欲しい |
| 治療内容 | セラミッククラウン2本 |
| 費用 | 合計¥300,000(税別) |
| 期間 | 4ヶ月 |
| リスク・副作用 | しっかりとした診査診断ができていないと正しい治療効果が得られないことがあります。 |
監修者情報

歯科医師(院長) 井貫 幸一

- 2013年 東北大学歯学部卒業 歯科医師免許取得
- 2022年 いぬきデンタルクリニック 開業
患者さまの生涯にわたりお口の健康を維持し、笑顔あふれる生活をサポートできればと考えております。
お口のことでお悩みの方もそうでない方も是非一度お気軽にご相談ください。
関連記事
2026.02.05
2025.09.09
2025.08.21
2025.06.19
