こんにちは。
いぬきデンタルクリニック院長の井貫です。
今回はマウスピース矯正による歯列矯正と、前歯部をセラミッククラウンで治療を行った症例のご紹介をさせていただきます。
Contents
マウスピース矯正(インビザライン)と前歯部をセラミッククラウンで治療した症例

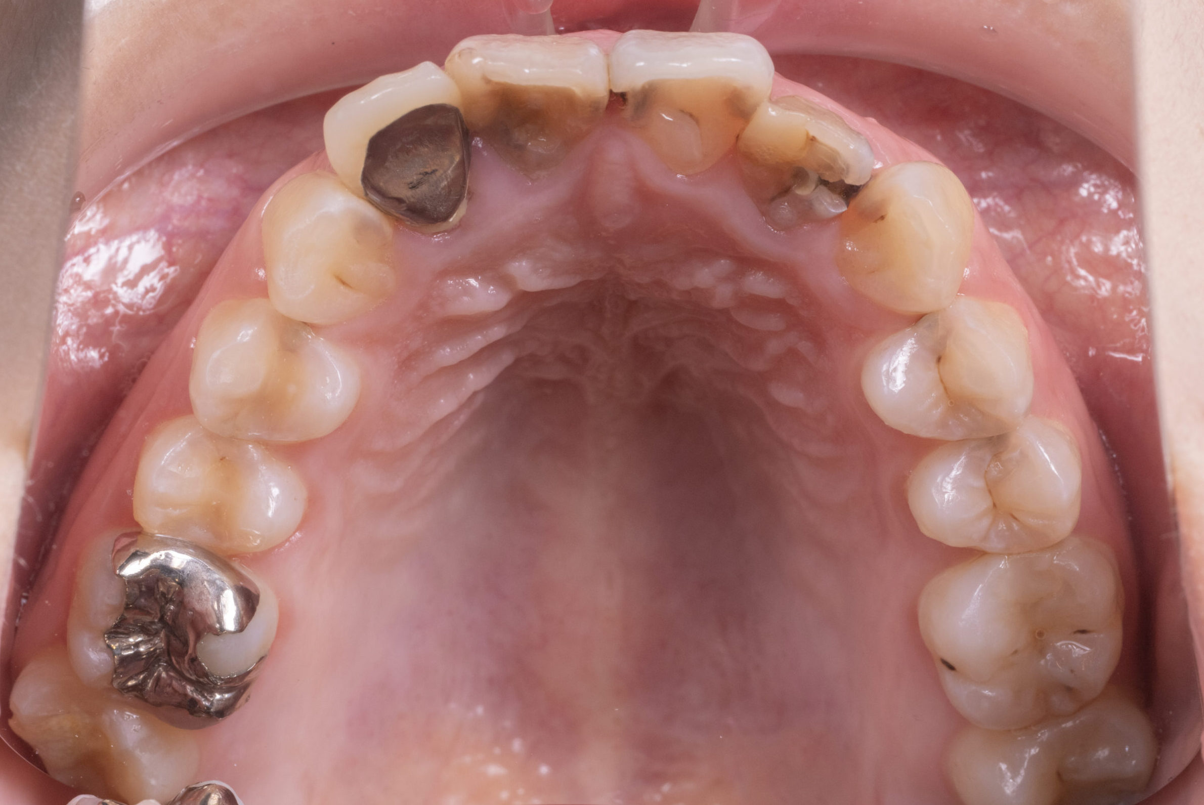
《初診時》



患者様の主訴は虫歯治療・詰め物が取れてしまった為ご来院されました。
虫歯治療と必要な箇所に根管治療を行いました。
《矯正終了後》


今回の症例は患者様のご希望もあり、マウスピース矯正で治療を進めていきましたが
矯正治療には①ワイヤーを使用した矯正治療と、②マウスピースを使用した矯正治療の2つの選択肢があります。
この写真のように歯に目立たない透明なマウスピースを装着して矯正行っていきます。
マウスピースは当院では約1週間ごとに交換を行っていただき、徐々に歯が動いていきます。
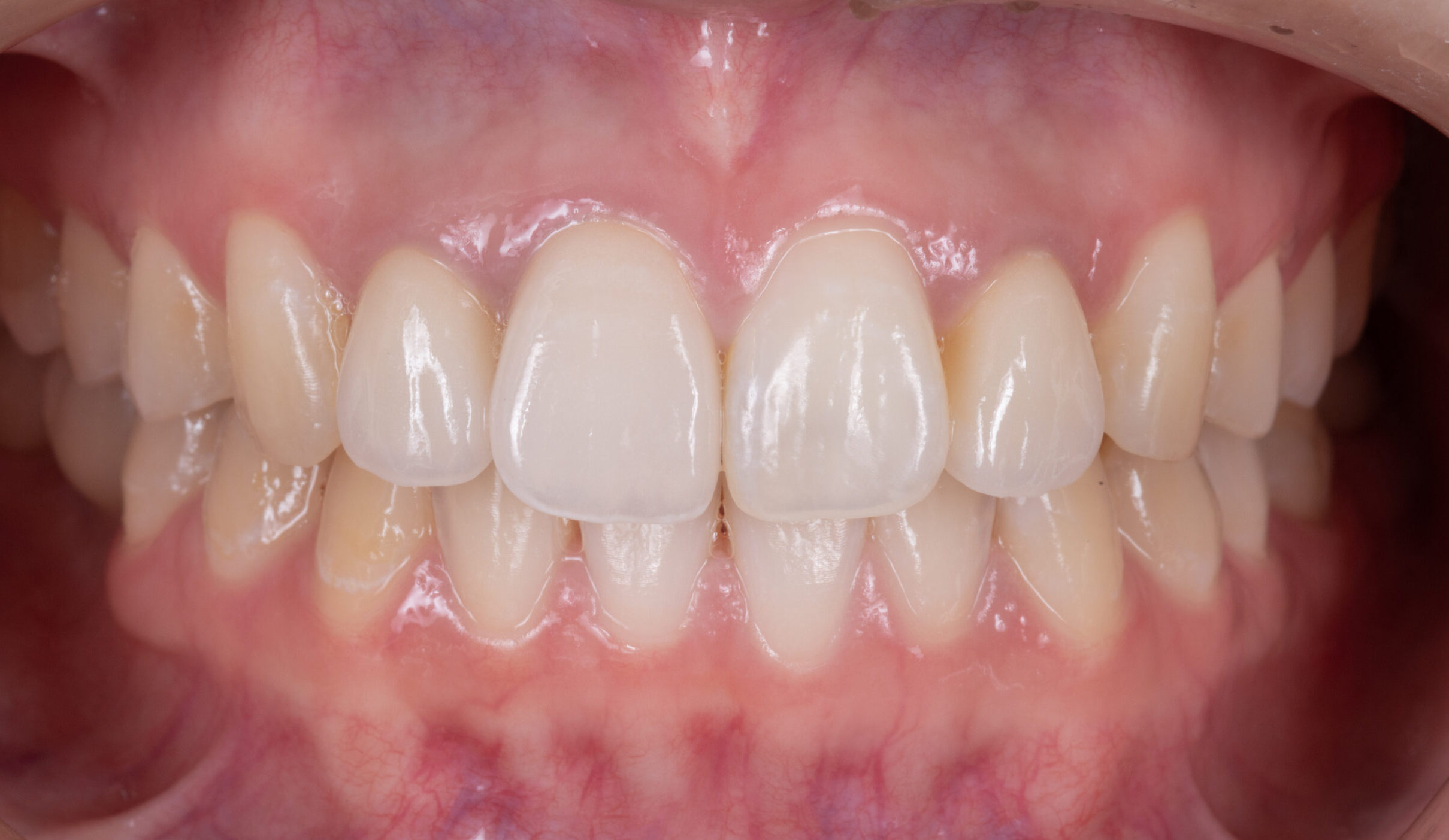
《最終》


今回の症例の治療概要としましては
①虫歯治療・根管治療
②マウスピース矯正(インビザライン)による歯列矯正
③インプラント埋入
④前歯部をセラミッククラウンへ
このような流れで治療させて頂きました。
写真の通り、とても綺麗な仕上がりに改善されました!

【初診時】

【セラミッククラウン装着前】

【最終】
まとめ
当院では歯列矯正だけではなく、セラミッククラウンやインプラント等に関しても
細かく丁寧なカウンセリングと、患者様に合った治療法をご案内させて頂いております。
お悩みの方やご検討中の方は是非一度お問合せ下さい。
| 年代・性別 | 20代女性 |
| 主訴 | 虫歯治療・詰め物が取れた |
| 治療内容 | 矯正治療/インプラント/セラミッククラウン |
| 費用 | ¥2,170,000(税別) |
| 期間 | 約1年9ヶ月 |
| リスク・副作用 | しっかりとした診査診断ができていないと正しい治療効果が得られないことがあります。 |
当院の矯正治療はこちらを参照ください。
https://www.inuki-dc.com/orthodontics.html
監修者情報

歯科医師(院長) 井貫 幸一

- 2013年 東北大学歯学部卒業 歯科医師免許取得
- 2022年 いぬきデンタルクリニック 開業
患者さまの生涯にわたりお口の健康を維持し、笑顔あふれる生活をサポートできればと考えております。
お口のことでお悩みの方もそうでない方も是非一度お気軽にご相談ください。
関連記事
2026.03.05
2026.02.05
2025.09.09
2025.08.21
