
前歯の虫歯は、奥歯の虫歯よりも人に見られたり、自分で見たりするのでより気になりやすい部分です。黒くなった部分が気になる、隙間が黒く見える、欠けて形が変わったように感じる。こうした変化は、鏡を見るたびに不安を呼び起こします。ただ、前歯の虫歯は原因に応じた治療を行うことで、見た目をしっかりと治療することが可能です。
一方で、歯並びや噛み合わせによっては、虫歯そのものを治しても「歯並びが気になる」「段差が目立つ」「歯ブラシが難しく、虫歯を再発しやすい」といった影響が残る場合があります。だからこそ前歯の虫歯治療で大切なのは、「虫歯を治せば見た目もきれいになるのかどうか」、「虫歯の治療だけでは見た目が整わないのかどうか」を適切に判断することです。
このページでは、兵庫県明石市で虫歯を適切に治療した補綴修復治療や歯列矯正を手がけている当院、いぬきデンタルクリニックが、前歯の虫歯の原因から治療方法まで詳しく解説します。
いぬきデンタルクリニックでは、矯正治療、補綴修復治療を通じてお口元のコンプレックスを解消し、お口の機能的な問題も同時に解決することで患者様のお口の健康を長く保つお手伝いをしております。
Contents
前歯の虫歯はなぜ目立つのか?

前歯の虫歯が目立つ原因を話すにあたっては、笑った時に口元よりどの程度前歯が見えるかが重要です。一般的に笑った時に上の前歯が見える方がほとんどです。
このため前歯は奥歯と違い、会話や笑顔のとき大きく見える場合が多く、わずかな色や形の変化でも「目立っている」と感じやすくなります。またこのため、前歯はより光の影響を受けるため、被せ物や詰め物を適切に行っても、隣の歯との色調を調和させるのが難しい場所となります。
ここでは、前歯の虫歯でよくある見た目の変化などをご説明します。
前歯の虫歯で起きやすい見た目の変化
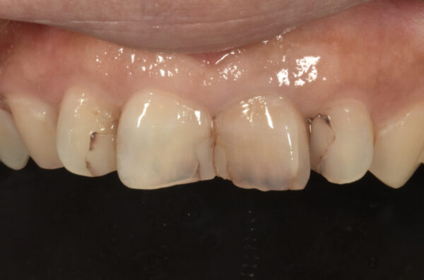
前歯の虫歯は、「表面に黒い部分がある」「歯と歯の間が黒く見える」「歯が欠けた」といった形で患者さんは気づくことが多いです。
特に歯の表面の小さな見た目の変化は、部屋の照明や見る角度によって目立ち方が変わるため、虫歯かどうか患者様でも分からない場合がほとんどです。初期の段階では痛みが出ないことがほとんどですし、冷たいものがしみても一時的に痛みが治まるケースもあります。だからといって放置してよい、ということではありません。
「痛くないから大丈夫」「虫歯かどうかわからないから様子見しよう」と考えず、まずは歯科医院で検査を受けることを考えていただくことをおすすめいたします。
虫歯と着色の見分けは難しい
歯に黒い部分があると、それが単なる着色なのか虫歯なのかを判断することは非常に難しいです。実際には歯科医師ですら見ただけでは虫歯かどうか診断することができない場合もあるため、患者さんが着色と虫歯を見分けることは非常に困難と言えます。
お茶、コーヒー、タバコなどによる着色、脱灰した状態(初期虫歯)、小さな虫歯は、それぞれ見た目は非常に似通っており、患者様では判断は難しいと思います。また自分で強くこすったり、尖ったもので削ったりすると、歯の表面を傷つけてしまい、虫歯の状態を悪化させたりする可能性もあるので、やはり早めの受診がおすすめです。
前歯の裏の虫歯はより気付きにくい
前歯の裏側は鏡で見えにくく、日常のセルフチェックが難しいため、変化に気づくのが遅れやすい箇所です。日々の歯磨きなども、表側はきれいに磨けていても、裏側がうまく磨けておらずプラークが残っている方も多々いらっしゃいます。
初期虫歯のサインとしては、表面が白く濁って見える、触るとザラつく、うすく黒〜茶色くなっている、といった小さな変化が生じることが多いですが、歯の裏側の虫歯の場合、これに気付くのも大変難しくなります。見た目の変化に気付きにくくても、「舌で触れたときになんとなく違和感がある」「フロスが引っかかる気がする」といった際には、歯の裏側や歯と歯の間の虫歯が原因かもしれません。
こういった変化に早い段階で気付いて治療を行えれば、できる限り大きく削らず虫歯治療を行うことが可能です。
前歯が虫歯になる理由について

前歯は奥歯と比べて歯磨きしやすく、「毎日しっかり磨けている」と感じている方は多いですが、虫歯になってしまうことがあります。
ここでは前歯が虫歯になる理由についてご説明します。
磨き残しが起きる場所(歯間・段差・デコボコ)
前歯は表面が見えやすいぶん、磨けているように感じやすいのですが、実際には「歯と歯の間」「歯が重なっている部分」「詰め物などの境目の部分」などは磨き残しが起きやすいです。
たとえば、歯と歯の間は歯ブラシの毛先が入りにくく、プラーク(歯垢)が残りやすいです。また、前歯が少し重なっていたり、ねじれて生えていたりすると、重なった部位は汚れが残りやすく、ブラッシングを行いづらいといった問題があります。
さらに、過去に詰め物や被せ物などをしている場合は、詰め物、被せ物の境目のわずかな段差に汚れがたまり、虫歯の再発につながることもあります。歯ブラシだけで完璧に清掃することは難しく、それによって虫歯になってしまうことがあります。
歯並びが悪いと「うまく磨けない箇所」が増えやすい
また歯並びが整っていないと、歯と歯が重なって生えていたりすることで、ブラッシングが難しい部位が増える傾向があります。もちろん歯並びが悪いからといって、絶対に虫歯になってしまうというわけではありません。
「ご自身の歯並びによってどこに磨き残しが出来やすいか」を正しく把握し、ケアの方法を工夫するだけで改善できる場合もあります。ただしそれでも、歯並びが綺麗な方と比べると、虫歯になるリスクは高くなってしまいます。そのため歯並びの悪い方は、より注意深く普段のお口のケアを行いつつ歯科の定期検診を受診し、場合によっては歯列矯正を検討することをおすすめします。
口呼吸による乾燥や間食など生活習慣
虫歯は、歯並びだけでなく生活習慣の影響を受けやすいです。
たとえば口呼吸の癖があると、口腔内が乾燥しやすく、唾液の自浄作用(汚れを洗い流し、酸を中和する働き)が十分に働かなくなる場合があります。すると、同じ磨き方でも虫歯のリスクが上がってしまいます。また、間食や甘い飲み物を頻繁に摂る習慣があると、口の中が酸性に傾く時間が長くなり、歯が溶けやすい環境が続きやすくなり、結果として虫歯が多発する原因となります。
過去に虫歯を治療した部位の再発
実際に患者さんのお口の中を詳しく検査すると、頻繁に見つかるのが「一度治した部位に再度虫歯ができている」という、虫歯の再発(二次う蝕)です。
虫歯の治療後の詰め物や被せ物と歯の境目は、目には見えませんが必ず小さな境目があります。この小さな境目に汚れが付くことで虫歯の再発のきっかけになります。このような虫歯の再発は、患者様本人の歯のケア不足とは限らず、詰め物や被せ物の精度、形の問題・生活習慣など複合的に関わることで最終的に二次う蝕の原因となります。
そのため前歯に虫歯ができた際には、詰め物や被せ物を高い精度で作れる歯科医院で治療を受けるのが理想的です。
歯並びと虫歯の関係|虫歯を治したのに審美的に問題がある?

前歯の虫歯が大きくなると歯の着色などが生じるため審美的にも大きな問題となります。しかし、このような問題は適切な治療を行うことで、審美的な問題点は改善できることが多いです。
しかし虫歯になっていた歯を治療し、色調や形態などの回復は行ったのに、違和感が残るケースもあります。この原因としては①作製した被せ物や詰め物が元の歯の形と違う、②元々歯並びが悪かったなどの原因が考えられます。①が原因の場合には被せ物や詰め物をやり変えることで対応可能です。しかし②が原因の場合には、虫歯を治療しても歯並びが改善されないと、笑った時の見た目は改善されないのです。
前歯の虫歯治療をきっかけに歯並び全体の審美性が気になり始め、もっと見た目を良くしたいと考える方は少なくありません。
ここでは、歯並びが虫歯や見た目に影響する仕組みを解説します。
歯並びが虫歯のリスクを上げるメカニズム
歯並びが虫歯のリスクに影響する代表的な原因は、「清掃性」です。先述した通り、歯が重なっている、ねじれているなどの状態では、歯ブラシやフロスを行いにくく、プラークが残りやすくなります。すると、表面はきれいに磨けていても、歯間部や歯が重なっている部分で虫歯が進行してしまうことがあるのです。
このような原因により、虫歯になるリスクが高まり、かつ一度治療した部位の虫歯の再発のきっかけにつながることもあります。また直接的に見た目がよくないと感じることに繋がることもあります。
前歯の虫歯を治しても見た目が整いにくいケース
前歯の虫歯そのものをきれいに治しても、「見た目が思ったほど整わない」と訴えられる患者様がたまにいらっしゃいます。これは虫歯治療に問題がある場合もありますが、多くは元々の歯の位置や傾きがよくなく、全体的な歯と歯の並びの関係が悪いため見た目に影響している場合があります。
たとえば、虫歯の黒い部分がなくなっても、歯と歯が重なっている、左右で前歯の大きさなどの見え方が揃わない、歯と歯の間の形が不自然に見える、虫歯治療した際の被せ物や詰め物が歯の色とあっていない、などの違和感が残ることがあります。
特に前歯は、わずかなズレや角度の差が非常に目立ちやすい部位です。虫歯治療でどこまで見た目が改善できるのか、どれくらいの改善を望む場合は別の方法が必要になるのかは、虫歯のある部位や虫歯の大きさ、現在の歯並びなどによっても変わってくるので、治療前にしっかりと歯科医師に相談しておくのが良いでしょう。
歯列矯正も行える歯科医院で治療を受けるのが安心
虫歯がある歯に多少の歯列不正があったとしても、必ず矯正治療が必要になるわけではありません。まずは虫歯の状態を正確に把握し、虫歯の治療だけでどこまでの治療が行えるのかを確認したうえで、「見た目をより整えたい」「再発しにくい環境を作りたい」などの希望がある場合には、歯列矯正も含めて治療の選択肢を検討する必要性が出る場合があります。
もしも虫歯治療と矯正治療を行う場合には、矯正治療後の詰め物や被せ物の形態を考慮して治療をする必要性があります。
つまり最初の診断で、最終的な仕上がりは大きく変わる可能性があります。そのため、「虫歯治療と合わせて歯列矯正まで必要かどうかわからない」という方こそ、歯列矯正も対応できる歯科医院で治療を受けておくとよいでしょう。
前歯の虫歯の進行と放置するリスク

前歯の虫歯は、痛みよりも先に「見た目の変化」で気付くことが多いですが、初期の段階では見過ごしてしまうことも多いです。初期の段階では歯科医師や歯科衛生士ですら、よく見なければ気付けないこともあります。
さらに虫歯が進行しても、歯の内部でだけ広がり、外側からの見た目にはほとんどわからないこともあります。
ここでは前歯の虫歯の進行と、虫歯を放置するリスクについて、わかりやすくご説明します。
前歯の虫歯の進行に伴って起きる変化
基本的に虫歯は、初期では「白く濁って見える」「表面がツヤを失ったように見える」といった変化が見られ、これを脱灰化と呼びます。この状態では、痛みや沁みたりすることも基本的にはありません。
ここから虫歯が進行すると、次第に色が変化していき茶色〜黒っぽく見えるようになり、さらに進行すると、歯が脆くなり、歯が欠ける、表面が削れる、穴が開くといった「歯の形の変化」が出てくることがあります。
前歯の場合、見た目の変化が小さくても気になりやすいため、進行し始めると歯科医院を受診される方が多いです。ただし理想としては、進行する前のなるべく初期段階での治療を行えば、歯を削る量を最小限に抑え、治療費用なども抑えやすくなります。そのためにはやはり、定期的な歯科検診を受診するのが大切だと言えます。
前歯の虫歯を放置すると起きること
前歯の虫歯を放置した場合に起こりうるリスクとしては、まず見た目の面では「茶色〜黒っぽい色になる」「歯が欠ける、穴が空く」などが挙げられます。虫歯が進行すると、食事中の噛む力で欠けたり、歯軋りや食いしばりで歯が破折する可能性もあります。
また、虫歯が深くなり、神経(歯髄)まで進行してしまうと痛みがでたり、歯の神経の治療が必要になるなどリスクがあります。歯の神経の治療が必要になるとその分大きく歯の切削が必要になるため、結果として歯の寿命は短くなります。
場合によっては歯がほとんど残らないような状態では、抜歯が必要となり、ブリッジ、入れ歯、インプラントといった治療が必要になることもあり、この場合、治療期間、費用がよりかかることとなります。
このため「見た目が気になる段階」で早めに歯科医師による診断を受け、治療が必要な場合には必要最小限の歯の切削で済ませることが重要です。
早期に治療を行うことで、治療後の見た目の改善や虫歯に罹患した歯の予後も大きく変わってきます。
前歯の虫歯治療で見た目を整える方法

前歯のような見た目に目立つ部位の虫歯治療では、「虫歯を取り除く」だけでなく、治療後の審美性を確保することも必要となります。
前歯の虫歯に対する治療の選択肢はいくつかありますが、どの方法が最適かは、虫歯の大きさ・部位・歯の色や形態、噛み合わせの条件、そしてご本人がどこまで見た目を重視したいかによっても変わってきます。ここでは代表的な治療の選択肢についてご説明します。
小さな虫歯:コンポジットレジン充填
虫歯が小さい場合、歯を削る量を抑えつつ、コンポジットレジン(歯科用の樹脂)で形と色を回復する方法が選ばれることが多いです。レジン充填は保険診療の範囲で対応できるケースもあり、「小さな黒い部分が気になる」「わずかに歯が欠けた」といった悩みを比較的短期間で改善できます。コンポジットレジンは欠けた部分の修復や、虫歯を取ったあとの穴を埋める場合に、歯に直接盛り足して形を整え、口腔内で固めることで治療を行います。
一方で、コンポジットレジンは経年的な変色が起こることがあります。また、噛み合わせや食いしばりの影響で欠けたり摩耗したりするので、耐久性については他の材料に劣ることがあります。
コンポジットレジンの色合わせ・形づくりで重要なこと
同じコンポジットレジン治療でも、「境目」「色調」「形態」などの要素で仕上がりは大きく変わります。歯とレジンの境目がなめらかに繋がっていないと、光の当たり方で段差が強調され、治療部分が目立ちやすくなります。また、前歯は光を透過する性質があるため、表面のツヤや透明感が整っていないと、白さは合っていてものっぺりとした質感に見える場合があります。さらに、適切な色調を選択できないと色自体が合わないなどの場合があります。
コンポジットレジン充填の自費治療と保険治療の違いについて質問を受けることがありますが、色合わせや形づくり、ラバーダム防湿を行うかどうかなどで差があります。同じコンポジットレジン充填による治療でも、保険治療の場合は仕上がりの差を追求するための十分な時間が取れず、見た目を追求した結果はなかなか出すことはできません。当院で行う自費治療のコンポジットレジン充填の場合は、患者様のご希望に沿うだけの質を追求するために必要な料金設定がされているため、より高いクオリティを期待できます。
自費のコンポジットレジン充填(ダイレクトボンディング)について
自費治療のコンポジットレジン充填は、当院ではダイレクトボンディングと呼んでいます。保険治療のコンポジットレジン充填と、自費治療のコンポジットレジン充填(ダイレクトボンディング)では、使用するコンポジットレジンも異なります。
保険治療のコンポジットレジン充填は、一般的なコンポジットレジン(CR)という歯科用プラスチック(樹脂)を使用します。対して自費治療のダイレクトボンディングでは、高品質なハイブリッドレジンを使用することが多く、セラミックの微粒子が混ぜ込まれていたり、CRと比べて色の種類が豊富で耐久性にも優れています。
保険治療のコンポジットレジン充填では単色のCRを盛り付けますが、自費治療のダイレクトボンディングでは様々な色調のハイブリッドレジンを多層構造になるように盛り付けて、天然の歯との境目のわからない自然な見た目を実現します。
こちらは当院でダイレクトボンディングを行ったケースです。

虫歯の治療ではありませんが、歯の欠けた部分の修復を行い、同時にすきっ歯の隙間も埋めて改善しています。治療後の歯を見て、歯とレジンの境目が分かる方はまず居ないと思います。
当院の自費治療のダイレクトボンディングなら、このように自然な見た目を実現することができます。この症例について詳しくは以下をご覧ください。
※ダイレクトボンディングは歯科医師の技術に大きく依存する治療ですので、他院で同様の治療が受けられるわけではありません。
歯の大部分を削るケース:セラミックの被せ物
虫歯が大きく、歯の欠損が大きい場合には、コンポジットレジン充填やダイレクトボンディングなどの「詰める」治療だけでは、歯の強度の維持や形の回復が難しく、被せ物(クラウン)で覆う治療が必要になることがあります。
前歯の被せ物で見た目を整える際は、「土台の色が透けないか」「周囲の歯となじむ透明感が出るか」「歯ぐきと調和して見えるか」といった要素が重要になります。前歯は光の透け方が目立ちやすいため、歯の内部の状態(変色の有無や土台の条件)によって、見え方が変わる場合があります。
また、被せ物は歯茎と被せ物の境目が目立ちやすい治療でもあるため、被せ物の適合度が再発予防の観点でも大切になります。見た目と機能を両立させるには、噛み合わせの力を考慮した設計にすることも重要です。
このように、前歯の被せ物の治療は審美性・機能性・清掃性のさまざまな要件が複雑に絡み合う治療です。こういった要件を満たす素材として、当院ではセラミックの被せ物による治療をおすすめしております。
前歯の見た目と再発予防を両立しやすい
前歯は光の透け方や色のわずかな差が目立ちやすく、さらに歯ぐきの際の境目も見えやすい部位です。そのため、ただ欠けた部分を覆うだけでなく「周囲の歯となじむ透明感と色調を再現できるか」「土台の色が透けて不自然にならないか」「歯と被せ物の境目が段差なくフィットして汚れが溜まりにくいか」といった要素が、仕上がりと長期安定を左右します。
セラミックは、天然歯に近い透明感や質感を作り込みやすく、表面も滑らかに仕上げられるため非常に天然な仕上がりにすることが可能です。また経年劣化が少なく着色しにくいといったメリットもあります。さらに、セラミックは汚れがつきにくいというメリットもあるため虫歯の予防という観点でもメリットがあります。
こうした理由から、前歯の虫歯が大きく歯を大きく削る必要があるケースでは、見た目と機能、そして再発予防まで含めて総合的に優れた選択肢としてセラミックの被せ物が適しています。
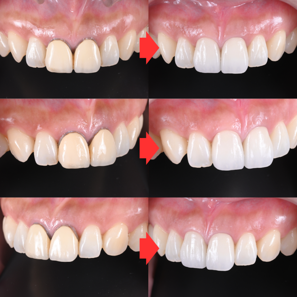
こちらは、上の前歯2本が保険の古い被せ物で着色が目立っており、気にしておられた患者様のケースです。

前歯は特にみられる部分でもあり、技術が問われますが、セラミックの被せ物に作り変えることで、美しく仕上げました。
歯の色調や透明感を周囲の歯としっかり馴染ませ、歯茎との境目も目立ちません。審美性だけでなく、清掃性も高く二次う蝕を防ぎやすい構造です。この症例について詳しくは以下をご覧ください。
前歯の虫歯治療をきれいに仕上げるためのポイント
治療後がきれいに見えるための3つの要素
前歯をきれいに見せる要素はさまざまですが、大きく「色」と「形」が挙げられます。
まず色は、単純な白さだけでなく、透明感やグラデーション、隣の歯とのなじみ方が印象を左右します。
次に形は、歯の長さや幅、先端の丸み、隣接した歯とのバランスなどが関係し、わずかな左右差でも気になりやすいポイントです。
そして美しく見えることとはことなりますが、噛み合わせは装着したセラミックがどれだけ長持ちするかということに深く関係しています。噛み合わせが悪いとセラミックが欠ける・摩耗するなどに直結します。噛み合わせが悪いと、結果として見た目が崩れてしまい、長持ちする治療にはならないのです。
この3つの要素は互いに影響し合うため、「色だけ」「形だけ」を追い求めても、審美性の長期的な安定が得にくくなります。
虫歯が治ったあとに歯並びが気になるケース
前歯の虫歯を治療して歯そのものがきれいになると、今まで「虫歯の色」や「穴」などが目立っていたぶん意識が向いていなかった、歯並びのわずかな乱れが気になり始めることがあります。特に前歯は目立ちやすく、隣の歯との位置関係や角度が少し違うだけでも印象が変わるため、治療後に「きれいになったはずなのに、別の部分が気になる」という感覚が起こりやすいのです。
さらに歯並びの乱れは見た目だけの問題ではなく、歯と歯が重なっている部分に汚れが残りやすくなるため、磨き残しが増え、結果として虫歯の再発リスクを高める要因にもなります。歯列矯正などで歯並びを整えることは、口元の印象を整えるだけでなく、清掃性を高めて再発を防ぐという点でも大きな意味があります。
歯列矯正後に、虫歯の治療跡や歯の色・形が気になるケースも
歯列矯正をして歯並びが整うことによって、歯が光を受ける角度や見え方が変わり、これまで目立ちにくかった虫歯治療の境目、わずかな色調差、歯の形の左右差などが目につくようになることもあります。
矯正によって歯の位置が変わると「隣の歯とのバランス」がよりクリアに見えるようになるため、過去の治療跡が相対的に目立ったり、歯と歯が重なっていてこれまで見えていなかった歯の変色などが目に触れる位置に移動してしまうことがあります。
そのため、矯正を検討する段階で、現在の虫歯治療の状態や色合わせの方向性、最終的にどこまで整えるかを事前に計画しておくと、患者様にとって理想的な仕上がりになりやすいです。
こちらの症例は、患者様の主訴は虫歯治療・詰め物が取れてしまった為ご来院されましたが、虫歯治療と必要な箇所に根管治療を行った後に、審美性や歯の長期的な健康の観点から、矯正治療も希望されたケースです。

最終的に、①虫歯治療・根管治療、②マウスピース矯正(インビザライン)による歯列矯正、③インプラント埋入、④前歯部をセラミッククラウンへ。といった流れで治療を行い、歯列の審美性・清掃性・機能性すべてがしっかりと整いました。
当症例について詳しくはこちらをご覧ください。
>>前歯部の審美障害をマウスピース矯正とセラミッククラウンで治療を行なった症例
まとめ:前歯の虫歯治療は審美と機能の両立が重要です
前歯の虫歯は目立ちやすい一方、状態に合った治療を行うことで見た目の印象を整えられることが多いです。さらに、歯並びや噛み合わせによっては、治療後の見え方や磨きにくさが再発のリスクに影響する場合もあります。
前歯の虫歯治療後の矯正治療は必ず必要になるわけではなく、見た目・再発予防などの患者様のご希望を伺ったうえで、必要に応じてご提案する選択肢です。
虫歯治療、審美修復の補綴治療、矯正治療、これらすべてを高いクオリティで実現するのは非常に難しく、歯科医院によって対応できる内容には違いがあるため、治療を検討する際は必ず歯科医院の症例などを確認してください。兵庫県明石市のいぬきデンタルクリニックでは、矯正治療を通じてお口元のコンプレックスを解消し、お口の機能的な問題も同時に解決することで患者様のお口の健康を長く保つお手伝いをしております。前歯の虫歯にお困りのかたは、ぜひお気軽にお問い合わせください。
監修者情報

歯科医師(院長) 井貫 幸一

- 2013年 東北大学歯学部卒業 歯科医師免許取得
- 2022年 いぬきデンタルクリニック 開業
患者さまの生涯にわたりお口の健康を維持し、笑顔あふれる生活をサポートできればと考えております。
お口のことでお悩みの方もそうでない方も是非一度お気軽にご相談ください。
関連記事
2023.08.14
2023.08.13
2023.08.13
2023.08.13