- トップページ
- 新着情報
- ダイレクトボンディング症例
- 正中離開(前歯のすきっ歯)をダイレクトボンディングで改善した症例
Contents
正中離開の原因
正中離開とは前歯のすきっ歯のことを言います。
正中離開の原因には以下のようなものがあります。
①顎の骨の大きさと歯の大きさのバランスの不調和による先天性のもの
②歯周病により歯を支える骨が溶けてしまい、歯が前に出てしまい隙間が空いてしまうもの
③奥歯がなくなることで、前歯が突き上げられてしまい歯の隙間が空いてしまったもの
この中で前歯の治療だけで可能なものは①番のみです。
それ以外のものは歯周病の治療や奥歯の治療なども必要になってきます。
正中離開の治療法
正中離開の原因には上記のようなものがありますが、今回は顎の骨の大きさと歯の大きさのバランスの不調和による先天性のものについての治療法についてご説明します。
この場合は治療の選択肢は3つあります。
①矯正治療
正中離開は矯正治療を行うことで、隙間を埋めることが可能です。
矯正治療のメリットは歯を削らないことにあります。
しかし治療期間がかかるというデメリットもあります。
②セラミッククラウン、ラミネートベニアなどの補綴治療
セラミッククラウンなどによる治療は長期間はかからないのですが、歯を大きく削るなどのデメリットもあります。
③ダイレクトボンディング
ダイレクトボンディングのメリットは治療が1日で終わる、ほとんど歯を削る必要性がないことです。
ただし、あまりにも大きな正中離開には向きません。
正中離開の治療例
治療前

患者さまは前歯のすきっ歯が気になるとのことで来院されました。
お口の中を精査すると、全体的に大きな問題はなく先天的に前歯の隙間がある状態でした。
また患者様は治療を短期間で終了したいとのことで、ダイレクトボンディングにより治療を行うこととしました。
治療中

ダイレクトボンディングで重要なのは接着部分を乾燥させることです。
上のようなラバーダムというゴムのマスクを使用して、歯を乾燥させた状態でコンポジットレジンを使用して詰めていきます。

右側中切歯にコンポジットレジンを詰めた状態です。
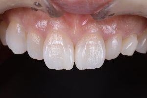
治療後

ダイレクトボンディング(コンポジットレジン)にて両側中切歯を修復した後の状態です。
ラバーダム防湿を行い、ダイレクトボンディングを行ったことで1日で治療を終了することができました。
| 年代・性別 | 40代女性 |
| 主訴 | 前歯の隙間が気になる |
| 治療内容 | ダイレクトボンディング |
| 費用 | ¥5 万×2(税込) |
| 期間 | 1回 |
| リスク・副作用 | しっかりとした診査診断ができていないと正しい治療効果が得られないことがあります。 |
監修者情報

歯科医師(院長) 井貫 幸一

- 2013年 東北大学歯学部卒業 歯科医師免許取得
- 2022年 いぬきデンタルクリニック 開業
患者さまの生涯にわたりお口の健康を維持し、笑顔あふれる生活をサポートできればと考えております。
お口のことでお悩みの方もそうでない方も是非一度お気軽にご相談ください。
関連記事
2025.10.16
2025.09.09
2025.09.04
2023.05.02