こんにちは。
いぬきデンタルクリニック院長の井貫です。
今日は左上の虫歯に対する治療についての症例のご紹介をいたします。
虫歯の治療は虫歯の大きさにより様々な方法があります。
今回はセラミックインレーによる治療を行った症例をご説明します。
Contents
セラミックインレーとは?
虫歯で大きな穴が開いてしまった場合には、型取りを行い補綴修復物(詰め物や被せ物など)を作る必要性があります。
詰め物か被せ物になるかは、虫歯の大きさによると言えます。
虫歯の大きさがそこまで大きくない場合=『詰め物』
虫歯の大きさがかなり大きい場合=『被せ物』
簡単にはこのような組み合わせだと言えます。
詰め物の中でも型取りを行い、技工士さんに作製してもらった詰め物を『インレー』と言います。
このインレーには材料により様々な分類があります。
つまりセラミックインレーとはセラミックという材料でできた詰め物ということです。
セラミックインレーメリット・デメリット
保険外の白い詰め物です。型取りをしてセラミックの詰め物のことです。
。
メリット
・強度も高く、歯との接着力も高い。
・セラミックの劣化はほとんど起こらない。
・様々な症例に対応可能。
・高い審美性。
・金属アレルギーの心配もない。
デメリット
・保険外治療。
・金属と比較すると、強度は落ちる。
左上臼歯部にダイレクトボンディングを行った症例
治療前

患者様は歯が欠けたとのことで初診となりました。お口の中を確認したところ、左上の一番奥の歯が虫歯となっていました。
患者様は出来るだけ、虫歯になりにくい詰め物で綺麗なものをご希望されたためセラミックインレーによる治療を選択しました。
型取り直前

虫歯を綺麗にとりきり、詰め物を作製しやすいように綺麗に形を整えました。
その後、型を採っていきます。
型取りを行った後、模型が出来上がり模型を使用して、技工士さんが美しい詰め物を作製してくれます。
出来上がった詰め物

技工士さんが作製してくれた詰め物です。技工士さんの技量によっても詰め物の精度も全く変わってきます。
ラバーダム防湿

詰め物をしっかりとくっつける方法としては、お口の中の湿度を出来るだけシャットアウトすることが重要です。
このためラバーダム防湿というゴムのマスクをすることで、より接着力をあげることができます。
エッチング処理

さらに化学的に歯の表面に凹凸をつけ、よりしっかりと接着する処理をおこなっています。
セメントを使用して接着操作を行なった状態

セラミックインレーの内面にセメントを填入し、しっかりと接着させていきます。
光照射

セメントは光により硬化するので、しっかりと光を当ててセメントを固まらせます。
接着直後

接着直後の状態です。
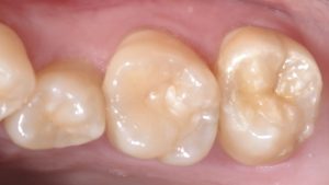
治療後

治療後の写真です。
ほとんど詰めている部分が分からない状態にすることができました。
ラバーダム防湿を行い、しっかりと接着処理を行うことでほとんどつなぎ目が分からない美しい詰め物を詰めることができました。
| 年代・性別 | 30代男性 |
| 主訴 | 虫歯が気になる。 |
| 治療内容 | セラミックインレー |
| 費用 | ¥8o,ooo(税別) |
| 期間 | 2回 |
| リスク・副作用 | しっかりとした診査診断ができていないと正しい治療効果が得られないことがあります。 |
当院の審美治療は以下を参照ください。
https://www.inuki-dc.com/aesthetic.html
監修者情報

歯科医師(院長) 井貫 幸一

- 2013年 東北大学歯学部卒業 歯科医師免許取得
- 2022年 いぬきデンタルクリニック 開業
患者さまの生涯にわたりお口の健康を維持し、笑顔あふれる生活をサポートできればと考えております。
お口のことでお悩みの方もそうでない方も是非一度お気軽にご相談ください。
関連記事
2025.09.09
2025.08.21
2025.06.19
2025.06.18